Go to the ONKODIN-Project (German)   German MDS-Forum 2010  |  Links  |  Contact us  |  Imprint  |  German Content German Content  
AML M4
AML M4 FAB - case report 1
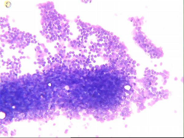
Bone marrow analysis
Cytochemical staining
Immunophenotyping


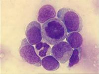
Bone marrow analysis


Comment on this image collection: The patient had a greatly hypercellular marrow for his or her age. There is a population of large blasts about 18 µm in size that predominate in the marrow. In addition there are isolated monocytoid cells at various stages of maturation. The bone marrow hematopathology and cytochemical staining results indicate that this is an acute myeloid leukemia of the M4 of M5 subtype.




Type: cytology
Source: bone marrow
Staining: panoptic stain

Low power microscopy; greatly hypercellular marrow




Type: cytology
Source: bone marrow
Staining: panoptic stain




Type: cytology
Source: bone marrow
Staining: panoptic stain




    Back to top of page Back to top                                                                                  Site Map Site Map  |  Printer friendly version of the document  |  Recommend this page!