Go to the ONKODIN-Project (German)   German MDS-Forum 2010  |  Links  |  Contact us  |  Imprint  |  German Content German Content  
AML M5b
AML M5b FAB - case report 1
Bone marrow analysis
Cytochemical staining
Immunophenotyping


Bone marrow analysis


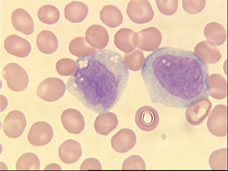
Comment on this image collection: Hypercellular bone marrow with reduced megakaryopoiesis. There is a left shift in the granulocytoid and erythroid lines. There is a myeloblast population with a monoblastoid morphology comprising 90% of the infiltration. These blasts are large with a partially rounded nucleus and partially folded oval cell nucleus. Many of the blasts also have a finely granular cytoplasm. The result is compatible with a secondary acute myeloid leukemia from a chronic myelomonocytic leukemia: AML from CMML with a classification of AML M5.

Differential diagnosis: Acute Myeloid Leukemia of the M5b subtype





Field under low power microscopy





Two blasts; the left shows a folded nucleus.









A blast with several vacuoles.









A blast with coarse granules.





Two blasts with prominent nuclei.




    Back to top of page Back to top                                                                                  Site Map Site Map  |  Printer friendly version of the document  |  Recommend this page!