Go to the ONKODIN-Project (German)   German MDS-Forum 2010  |  Links  |  Contact us  |  Imprint  |  German Content German Content  
AML M4Eo
AML M4Eo FAB - case report 1
Bone marrow analysis
Cytochemical staining
Immunophenotyping


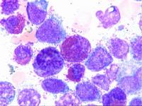
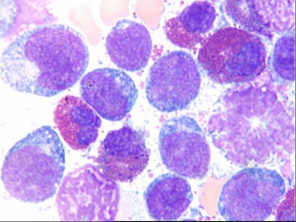
Bone marrow analysis


Comment on this image collection: Bone marrow analysis showed a hypercellular marrow for a patient of this age with signifcantly reduced erythropoiesis and a reduction in megakaryopoiesis. The cellular differential revealed that 70% of the cells are blasts, while numerous (10-15%) eosinophilic granulocytes are noted.
The findings are consistent with an acute myeloid leukemia, although for the specific subtype classification one is referred to the immunophenotyping and cytogenetic findings.





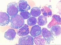
Low power microscopy





Low power microscopy




























    Back to top of page Back to top                                                                                  Site Map Site Map  |  Printer friendly version of the document  |  Recommend this page!