Go to the ONKODIN-Project (German)   German MDS-Forum 2010  |  Links  |  Contact us  |  Imprint  |  German Content German Content  
AML M1
AML M1 FAB - case report 1
Bone marrow analysis
Cytochemical staining
Immunophenotyping


Bone marrow analysis


Remark: The initial diagnostic bone marrow analysis was performed at an outside institution. The results were indicative of an acute myeloid leukemia.

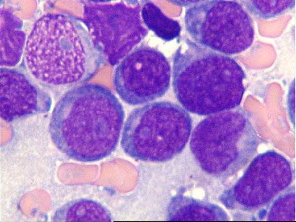
Comment on this image collection: The first bone marrow specimen analysed by our institution occurred 15 days after chemotherapy was begun. The patient had a normocellular bone marrow at this time with an infiltrate of myeloid blasts comprising 80-90% of the total cells. These cytological findings are compatible with a lack of a response to the induction chemotherapy. However the cellularity is reduced in relation to the output result.









Low power microscopy of the marrow












    Back to top of page Back to top                                                                                  Site Map Site Map  |  Printer friendly version of the document  |  Recommend this page!