Go to the ONKODIN-Project (German)   German MDS-Forum 2010  |  Links  |  Contact us  |  Imprint  |  German Content German Content  
AML M1
AML M1 FAB - case report 1
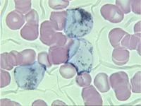
Bone marrow analysis
Cytochemical staining
Immunophenotyping


Cytochemical staining


Remark: Cytochemical staining was performed on a fresh specimen at our insitution at diagnosis with the results as shown below.




Type: cytology
Cytochemical staining: Peroxidase stain




Type: cytology
Cytochemical staining: non-specific esterase




Type: cytology
Cytochemical staining: Periodic Acid Schiff




    Back to top of page Back to top                                                                                  Site Map Site Map  |  Printer friendly version of the document  |  Recommend this page!