Go to the ONKODIN-Project (German)   German MDS-Forum 2010  |  Links  |  Contact us  |  Imprint  |  German Content German Content  
Common ALL (c-ALL)
Common (c)-ALL - case report 2
Bone marrow analysis
Cytochemical staining
Immunophenotyping


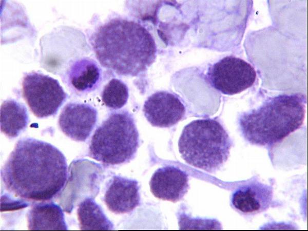
Cytochemical staining


Comment on this image collection: Cytochemical staining performed on the bone marrow indicated negative staining by Sudan Black B (SBB), Non-Specific Esterase (NSE), and Periodic Acid Schiff (PAS).




Type: cytology
Source: bone marrow
Cytochemical staining: Sudan Black B




Type: cytology
Source: bone marrow
Cytochemical staining: non-specific esterase




Type: cytology
Source: bone marrow
Cytochemical staining: Periodic Acid Schiff




    Back to top of page Back to top                                                                                  Site Map Site Map  |  Printer friendly version of the document  |  Recommend this page!