Go to the ONKODIN-Project (German)   German MDS-Forum 2010  |  Links  |  Contact us  |  Imprint  |  German Content German Content  
AML M1
AML M1 FAB - case report 3
Bone marrow analysis
Cytochemical staining
Immunophenotyping


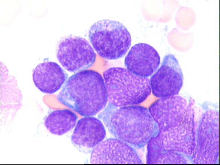
Bone marrow analysis


Comment on this image collection: There is a complete displacement of normal hematopoiesis by an infiltrate of small to medium size blasts. These cells contain one to two nucleoli per cell and little cytoplasm. The findings are suggestive of an early acute myeloid leukemia of the M1 subtype.








    Back to top of page Back to top                                                                                  Site Map Site Map  |  Printer friendly version of the document  |  Recommend this page!