Go to the ONKODIN-Project (German)   German MDS-Forum 2010  |  Links  |  Contact us  |  Imprint  |  German Content German Content  
AML M1
AML M1 FAB - case report 3
Bone marrow analysis
Cytochemical staining
Immunophenotyping


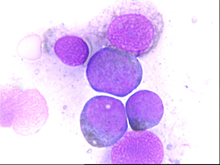
Cytochemical staining


Comment on this image collection: Cytochemical staining was performed on the bone marrow specimen. The blasts showed positive cytochemical reactivity for Sudan Black B (SBB), while the Non specific esterase (NSE), and the Periodic Acid Schiff (PAS) stains were negative.




Type: cytology
Source: bone marrow
Cytochemical staining: Sudan Black B

Positive cytochemical reactivity for Sudan Black B (SBB)




Type: cytology
Source: bone marrow
Cytochemical staining: non-specific esterase

Non specific esterase (NSE) stain negative




Type: cytology
Source: bone marrow
Cytochemical staining: Periodic Acid Schiff

Periodic Acid Schiff (PAS) staining negative




    Back to top of page Back to top                                                                                  Site Map Site Map  |  Printer friendly version of the document  |  Recommend this page!