Go to the ONKODIN-Project (German)   German MDS-Forum 2010  |  Links  |  Contact us  |  Imprint  |  German Content German Content  
AML M6b
AML M6b FAB - case report 1
Bone marrow analysis
Cytochemical staining
Immunophenotyping


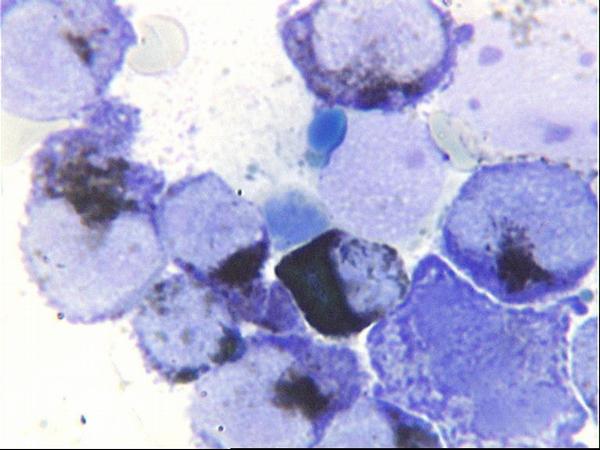
Cytochemical staining


Comment on this image collection: Cytochemical staining was performed on the bone marrow specimen. Sudan Black B (SBB) staining was strongly positive in the blast population. Non-specific esterase (NSE) was weakly positive, while Periodic Acid Schiff (PAS) staining was negative.




Type: cytology
Source: bone marrow
Cytochemical staining: Sudan Black B

Sudan Black B (SBB): Strongly positive in the blast population




Type: cytology
Source: bone marrow
Cytochemical staining: non-specific esterase

Non-specific esterase (NSE): Weakly positive




Type: cytology
Source: bone marrow
Cytochemical staining: Periodic Acid Schiff

Periodic Acid Schiff (PAS) staining negative




    Back to top of page Back to top                                                                                  Site Map Site Map  |  Printer friendly version of the document  |  Recommend this page!