zum ONKODIN-Projekt   Deutsches MDS-Forum 2010  |  Links  |  Kontakt  |  Impressum  |  English Content English Content  
Inhaltsverzeichnis (navigierbar)Sitemap  
Reaktive Veränderungen
Keimzentrumshyperplasie
Fall 1: 52-jährige Frau
Fall 2: 19-jähriger Mann


Unspezifische Lymphknotenvergrößerung bei einer 52-jährigen Frau


Beschreibung/Beurteilung der Bildserie: Unspezifische Lymphknotenschwellung mit Keimzentrumshyperplasie. In anderen, hier nicht gezeigten Präparateabschnitten auch parakortikale Hyperplasie.




Keimzentrum


Erstelldatum: 10.05.2006
Art: Zytologie
Material: Lymphknoten
Färbung: panoptisch

In der Mitte Kerntrümmermakrophage, umgeben von einigen Keimzentrumsblasten und kleinen und mittelgroßen Lymphozyten.

(Mikroskopische Objektivvergrößerung X40)




Keimzentrumsblasten


Erstelldatum: 10.05.2006
Art: Zytologie
Material: Lymphknoten
Färbung: panoptisch

Unten Kerntrümmermakrophage. In der Mitte vier Keimzentrumsblasten mit etwas größeren Kernen und einem feinen, hellen Chromatin. In der Umgebung unauffällige Lymphozyten.

(Mikroskopische Objektivvergrößerung X100)




Keimzentrumsblasten


Erstelldatum: 10.05.2006
Art: Zytologie
Material: Lymphknoten
Färbung: panoptisch

In der Mitte drei Keimzentrumsblasten mit hellem, fein verteilten Chromatin. In der Umgebung unauffällige Lymphozyten.

(Mikroskopische Objektivvergrößerung X100)




Keimzentrumsblasten


Erstelldatum: 10.05.2006
Art: Zytologie
Material: Lymphknoten
Färbung: panoptisch

In der Mitte und am unteren Bildrand Keimzentrumsblasten mit hellem Chromatin. Zahlreiche unauffällige Lymphozyten.

(Mikroskopische Objektivvergrößerung X100)




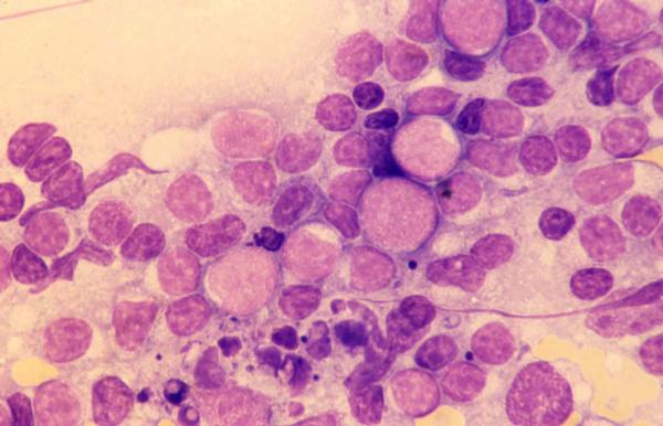
Kerntrümmermakrophage


Erstelldatum: 10.05.2006
Art: Zytologie
Material: Lymphknoten
Färbung: panoptisch

Großer Kerntrümmermakrophage mmit phagozytiertem Material im Zytoplasma. Unmittelbar links davon ein relativ kleiner Keimzentrumsblast.

(Mikroskopische Objektivvergrößerung X100)




    Nach oben zum Seitenanfang Zum Seitenanfang                                                                                  Inhaltsverzeichnis (navigierbar) Sitemap  |  Druckversion des Dokuments  |  E-Mail-Versand