zum ONKODIN-Projekt   Deutsches MDS-Forum 2010  |  Links  |  Kontakt  |  Impressum  |  English Content English Content  
Inhaltsverzeichnis (navigierbar)Sitemap  
Hämatolog. Erkrankungen
Multiples Myelom
Multiples Myelom


Multiples Myelom




Material: Knochenmark
Färbung: panoptisch

Ansammlung von Plasmazellen




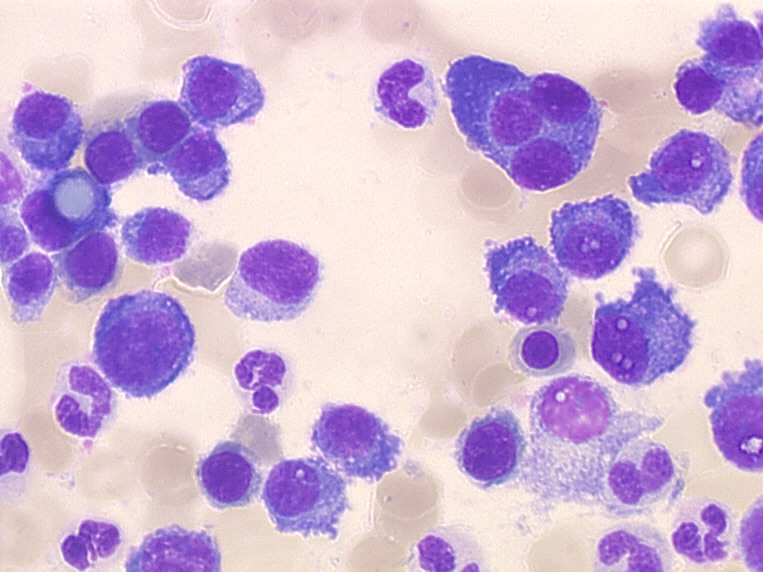
Material: Knochenmark
Färbung: panoptisch

Ansammlung von Plasmazellen, mehrkernige Plasmazelle




Material: Knochenmark
Färbung: panoptisch

Ansammlung von Plasmazellen, mehrkernige Plasmazelle, "Dutcher Bodies"




    Nach oben zum Seitenanfang Zum Seitenanfang                                                                                  Inhaltsverzeichnis (navigierbar) Sitemap  |  Druckversion des Dokuments  |  E-Mail-Versand  
 
Interner Link
Der Hämatologische Notfall. Sysmex Kalender 2008 [Mehr]