zum ONKODIN-Projekt   Deutsches MDS-Forum 2010  |  Links  |  Kontakt  |  Impressum  |  English Content English Content  
Inhaltsverzeichnis (navigierbar)Sitemap  
Reaktive Veränderungen
Parakortikale Hyperplasie
Fall 1: 52-jährige Frau
Fall 2: 45-jähriger Mann


Ausgeprägte parakortikale Hyperplasie bei Virusinfekt


Beschreibung/Beurteilung der Bildserie: Ungewöhnlich ausgeprägte parakortikale Hyperplasie bei Virusinfekt.

Differenzialdiagnosen: Hodgkin-Lymphom




Parakortikale Hyperplasie


Erstelldatum: 13.05.2006
Art: Zytologie
Material: Lymphknoten
Färbung: panoptisch

Mehrere große Immunoblasten und zahlreiche kleine und mittelgroße Lymphozyten.

(Mikroskopische Objektivvergrößerung X100)




Immunoblasten


Erstelldatum: 13.05.2006
Art: Zytologie
Material: Lymphknoten
Färbung: panoptisch

Immunoblasten mit großen Kernen, sehr großen Nukleolen und tiefbasophilem Zytoplasma.

(Mikroskopische Objektivvergrößerung X100)




Immunoblasten


Erstelldatum: 13.05.2006
Art: Zytologie
Material: Lymphknoten
Färbung: panoptisch

Immunoblasten mit sehr großen Nukleolen.

(Mikroskopische Objektivvergrößerung X100)




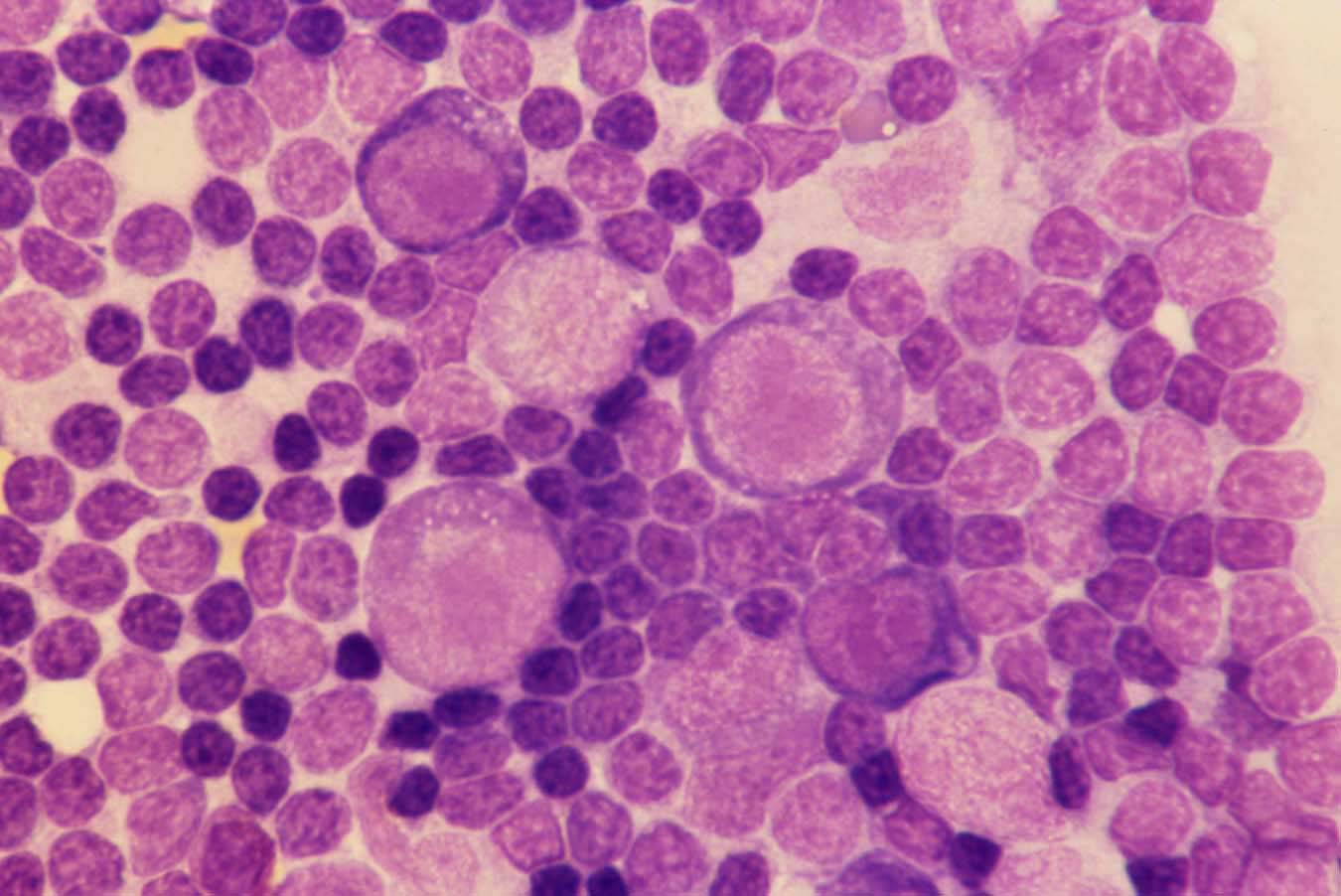
Immunoblasten


Erstelldatum: 13.05.2006
Art: Zytologie
Material: Lymphknoten
Färbung: panoptisch

Immunoblasten mit sehr großen Nukleolen. Tiefbasophiles, relativ weites Zytoplasma. In der Umgebung unauffällige kleine und mittelgroße Lymphozyten.

(Mikroskopische Objektivvergrößerung X100)




    Nach oben zum Seitenanfang Zum Seitenanfang                                                                                  Inhaltsverzeichnis (navigierbar) Sitemap  |  Druckversion des Dokuments  |  E-Mail-Versand