zum ONKODIN-Projekt   Deutsches MDS-Forum 2010  |  Links  |  Kontakt  |  Impressum  |  English Content English Content  
Inhaltsverzeichnis (navigierbar)Sitemap  
Reaktive Veränderungen
Eitrige Lymphadenitis
Fall 1: 75-jähriger Mann
Fall 2: 74-jähriger Mann


Eitrige Lymphadenitis bei einem 75-jährigen Mann


Beschreibung/Beurteilung der Bildserie: Eitrige Entzündung mit sehr vielen neutrophilen Granulozyten, Makrophagen und einigen Fibroblasten. Stellenweise kommen Bakterien vor.




Eitrige Lymphadenitis


Erstelldatum: 27.05.2006
Art: Zytologie
Material: Lymphknoten
Färbung: panoptisch

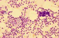
Sehr viele neutrophile Granulozyten. Links ein Makrophage, rechts eine kleine Gruppe von Fibroblasten.

(Mikroskopische Objektivvergrößerung X40)




Makrophage


Erstelldatum: 27.05.2006
Art: Zytologie
Material: Lymphknoten
Färbung: panoptisch

Großer Makrophage, umgeben von neutrophilen Granulozyten.

(Mikroskopische Objektivvergrößerung X100)




Fibroblasten


Erstelldatum: 27.05.2006
Art: Zytologie
Material: Lymphknoten
Färbung: panoptisch

Kleine Gruppe von dicht zusammengelagerten Fibroblasten, in der Umgebung neutrophile Granulozyten.

(Mikroskopische Objektivvergrößerung X100)




Bakterien


Erstelldatum: 27.05.2006
Art: Zytologie
Material: Lymphknoten
Färbung: panoptisch

Neutrophile Granulozyten und dazwischen einige Bakterien.

(Mikroskopische Objektivvergrößerung X100)




    Nach oben zum Seitenanfang Zum Seitenanfang                                                                                  Inhaltsverzeichnis (navigierbar) Sitemap  |  Druckversion des Dokuments  |  E-Mail-Versand