zum ONKODIN-Projekt   Deutsches MDS-Forum 2010  |  Links  |  Kontakt  |  Impressum  |  English Content English Content  
Inhaltsverzeichnis (navigierbar)Sitemap  
Maligne Lymphome
Marginalzonenlymphom
79-jährige Frau


79-jährige Frau mit nodalem Marginalzonenlymphom


Vorkommen: Multiple vergrößerte Lymphknoten und Pleuraerguss. Im Lymphknoten und im Pleuraerguss werden zytologisch Lymphomzellen nachgewiesen.

Beschreibung/Beurteilung der Bildserie: Im Lymphknotentupfpräparat finden sich sehr viele lymphoplasmozytoide Zellen unterschiedlicher Form und Größe. Eingestreut kommen große, blastenartige Zellen mit besophilem Zytoplasma vor, die an Immunoblasten erinnern. Außerdem finden sich zahlreiche Plasmazellen, z.T. mit leicht atypischen Kernen. - Im Pleuraerguss sind neben unauffälligen Mesothelzellen sehr viele lymphoplasmozytoide Zellen nachweisbar.

Differenzialdiagnosen: Immunozytisches Lymphom (also SLL und lymphoplasmozytisches Lymphom nach WHO-Klassifikation)




Nodales Marginalzonenlymphom


Erstelldatum: 16.12.2006
Art: Zytologie
Material: Lymphknoten
Färbung: panoptisch

Mittelgroße und große lymphoplasmozytoide Zellen, außerdem einige kleine, unauffällige Lymphozyten.

(Mikroskopische Objektivvergrößerung X40)




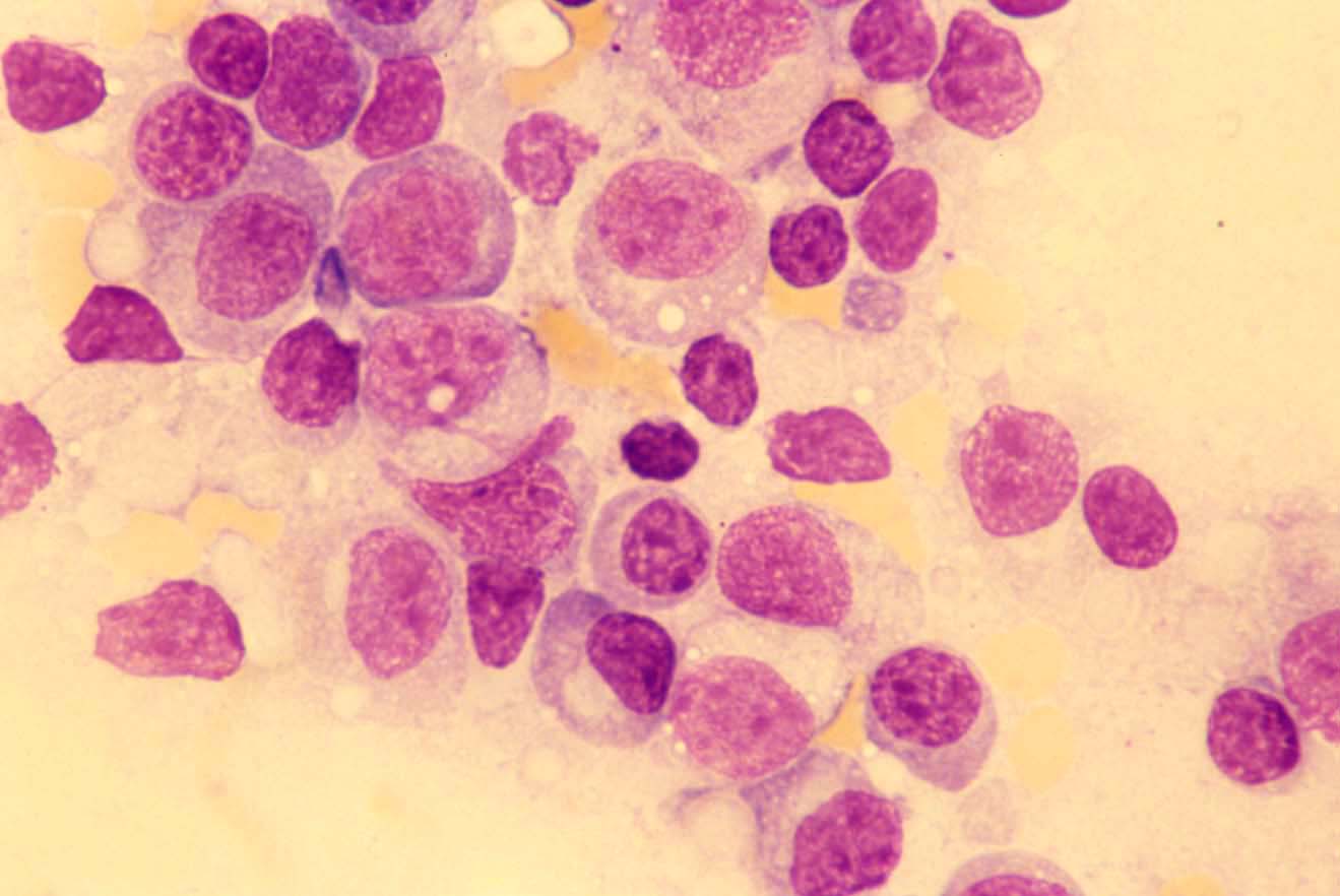
Nodales Marginalzonenlymphom - Detail


Erstelldatum: 16.12.2006
Art: Zytologie
Material: Lymphknoten
Färbung: panoptisch

Lymphoplasmozytoide Zellen mit runden Kernen, aufgelockertem Chromatin und sichtbarem Nukleolus. Das Zytoplasma ist relativ weit und hell- bis mittelbasophil angefärbt. Fließende Übergänge zu Plasmazellen (Mitte unten). In Bildmitte und rechts oben einige kleine, unauffällige Lymphozyten mit dunklen Kernen.

(Mikroskopische Objektivvergrößerung X100)




Lymphoplasmozytoide Zellen


Erstelldatum: 16.12.2006
Art: Zytologie
Material: Lymphknoten
Färbung: panoptisch

Lymphoplasmozytoide Zellen unterschiedlicher Größe. Im Hintergrund etwas zerstrichenes Zytoplasma.

(Mikroskopische Objektivvergrößerung X100)




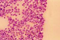
Zellreicher Präparateabschnitt bei MZL


Art: Zytologie
Material: Lymphknoten
Färbung: panoptisch

Zellreiches Lymphknotentupfpräparat mit sehr vielen lymphoplasmozytoiden Zellen unterschiedlicher Größe. Oben rechts zwei sehr große lymphophasmozytoide Zellen.

(Mikroskopische Objektivvergrößerung X40)




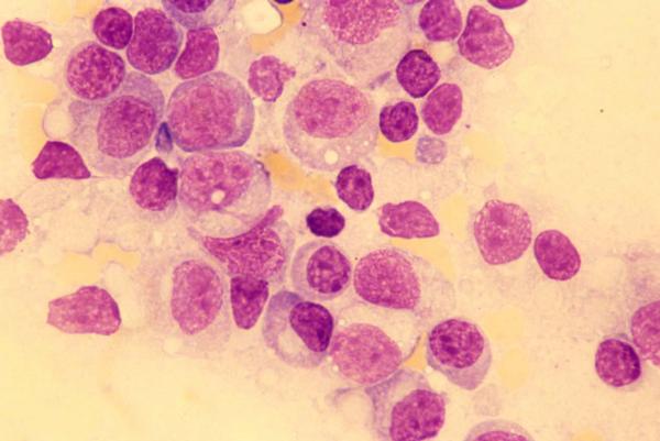
Lymphoplasmozytoide Zellen


Erstelldatum: 16.12.2006
Art: Zytologie
Material: Lymphknoten
Färbung: panoptisch

Detail des gleichen Präparateabschnitts. Das ganze Spektrum der lymphoplasmozytoiden Zellen von großen, blastenartigen Formen bis zu Plasmazellen ist zu erkennen. Rechts unten eine Mitose.

(Mikroskopische Objektivvergrößerung X100)




Nodales Marginalzonenlymphom im Pleuraerguss


Erstelldatum: 16.12.2006
Art: Zytologie
Material: Pleuraerguss
Färbung: panoptisch

Pleuraerguss der gleichen Patientin: Links oben eine unauffällige Mesothelzelle. Im Übrigen zahlreiche lymphoplasmozytoide Zellen unterschiedlicher Form und Größe mit fließenden Übergängen zu Plasmazellen. Außerdem einige kleine, unauffällige Lymphozyten.

(Mikroskopische Objektivvergrößerung X100)




    Nach oben zum Seitenanfang Zum Seitenanfang                                                                                  Inhaltsverzeichnis (navigierbar) Sitemap  |  Druckversion des Dokuments  |  E-Mail-Versand