zum ONKODIN-Projekt   Deutsches MDS-Forum 2010  |  Links  |  Kontakt  |  Impressum  |  English Content English Content  
Inhaltsverzeichnis (navigierbar)Sitemap  
Maligne Lymphome
Mantelzell-Lymphom
Mantelzell-Lymphom
Mantelzell-Lymphom


Mantelzell-Lymphom, Lymphknoten, Knochenmark


Vorkommen: 55-jähriger Mann mit ausgedehnten Lymphknotenschwellungen. Neben einem nodalen Befall durch ein Mantelzell-Lymphom wurde auch eine Knochenmarkbeteiligung nachgewiesen, jedoch keine wesentliche leukämische Ausschwemmung. - Nach Hochdosistherapie und Gabe autologer Stammzellen stablie CR seit über acht Jahren.

Beschreibung/Beurteilung der Bildserie: Im Feinnadelpunktat eines vergrößerten Lymphknotens einförmiges Bild mit mittelgroßen atypischen Zellen. Die Kerne der auffälligen Zellen sind unregelmäßig konturiert, das Chromatin wirkt locker, aber nicht blastenartig. Im Knochenmark diffus eingestreut atypische lymphatische Zellen mit der gleichen Morphologie.

Differenzialdiagnosen: Follikuläres Lymphom




Mantelzell-Lymphom


Erstelldatum: 15.12.2006
Art: Zytologie
Material: Lymphknoten
Färbung: panoptisch

Im Feinnadelpunktionsausstrich eines Lymphknotens einförmiges Bild mit sehr vielen mittelgroßen atypischen Zellen.

(Mikroskopische Objektivvergrößerung X40)




Mantelzell-Lymphom - Detail


Erstelldatum: 15.12.2006
Art: Zytologie
Material: Lymphknoten
Färbung: panoptisch

Zahlreiche atypische lymphatische Zellen mit unregelmäßig konturierten Kernen und lockerer Chromatinstruktur. In der Mitte ein kleiner, unauffälliger Lymphozyt mit sehr dunkel angefärbtem Kern. Im Hintergrund Zytoplasmafragmente (unspezifischer Befund).

(Mikroskopische Objektivvergrößerung X100)




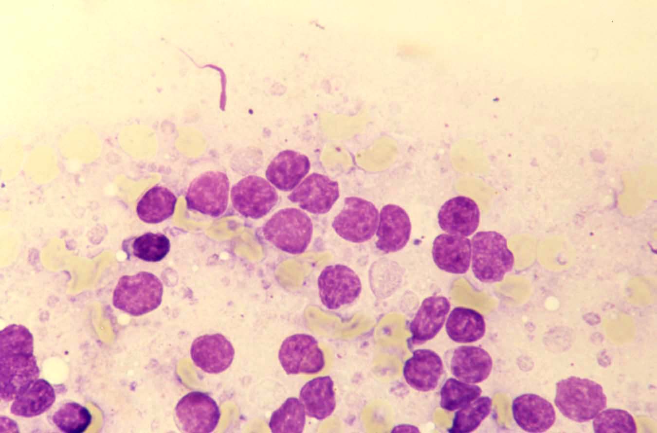
Lymphomzellen und Zytoplasmafragmente


Erstelldatum: 15.12.2006
Art: Zytologie
Material: Lymphknoten
Färbung: panoptisch

Zahlreiche atypische Zellen mit unregelmäßig begrenzten Kernen. Links ein kleiner, unauffälliger Lymphozyt mit sehr dichter Chromatinstruktur. Im Hintergrund sehr viele Zytoplasmafragmente.

(Mikroskopische Objektivvergrößerung X100)




Mantelzell-Lymphom im Knochenmark


Erstelldatum: 15.12.2006
Art: Zytologie
Material: Knochenmark
Färbung: panoptisch

Atypische lymphatische Zellen im Knochenmark. Die auffälligen Kerne der atypischen Zellen entsprechen den Kernen der Lymphomzellen im Lymphknotenpunktat. Unten ein Normoblast.

(Mikroskopische Objektivvergrößerung X100)




Lymphomzellen und hämatopoetische Zellen im Knochenmark


Erstelldatum: 15.12.2006
Art: Zytologie
Material: Knochenmark
Färbung: panoptisch

Zellen des bekannten Mantelzell-Lymphoms zwischen Hämatopoese. Oben rechts eine Lymphomzelle mit gekerbtem Kern.

(Mikroskopische Objektivvergrößerung X100)




    Nach oben zum Seitenanfang Zum Seitenanfang                                                                                  Inhaltsverzeichnis (navigierbar) Sitemap  |  Druckversion des Dokuments  |  E-Mail-Versand