zum ONKODIN-Projekt   Deutsches MDS-Forum 2010  |  Links  |  Kontakt  |  Impressum  |  English Content English Content  
Inhaltsverzeichnis (navigierbar)Sitemap  
Maligne Lymphome
Burkitt-Lymphom
41-jähriger Mann


41-jähriger Mann mit Weichteilbefall bei Burkitt-Leukämie


Vorkommen: Weichteilschwellung im M. biceps des rechten Oberarms. Eine Burkitt-Leukämie mit meningealer Beteiligung ist bekannt. Der Weichteilbefall wurde im zweiten meningealem Rezidiv nachgewiesen, zu diesem Zeitpunkt keine leukämische Ausschwemmung.

Beschreibung/Beurteilung der Bildserie: Im Feinnadelpunktat einer Weichteilschwellung am rechten Oberarm Nachweis von mittelgroßen, undifferenzierten Blasten, auch einige Mitosen. - Im Knochenmark bei Diagnosestellung etwa sechs Monate zuvor massenhaft Blasten mit einer auffälligen, feinen Vakuolisierung des Zytoplasmas.

Differenzialdiagnosen: Diffus-großzelliges B-Zell-Lymphom, andere hochmaligne Lymphome




Weichteilbefall bei Burkitt-Leukämie


Erstelldatum: 16.12.2006
Art: Zytologie
Material: Sonstiges, Angabe s. Beschreibung
Färbung: panoptisch

Etwas Blut und mäßig viele, mittelgroße, undifferenziert wirkende Blasten. In der Mitte eine Mitose.

(Mikroskopische Objektivvergrößerung X40)




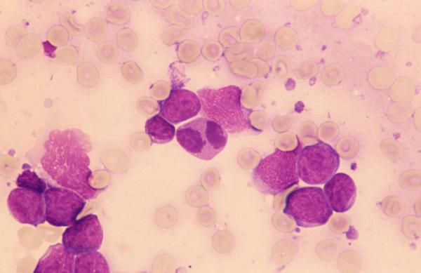
Weichteilbefall - Detail


Erstelldatum: 16.12.2006
Art: Zytologie
Material: Sonstiges, Angabe s. Beschreibung
Färbung: panoptisch

Mittelgroße, undifferenziert wirkende Blasten. In der Mitte eine Mitose, links daneben ein unauffälliger Lymphozyt.

(Mikroskopische Objektivvergrößerung X100)




Blasten bei Burkitt-Leukämie und Weichteilbefall


Erstelldatum: 16.12.2006
Art: Zytologie
Material: Sonstiges, Angabe s. Beschreibung
Färbung: panoptisch

Undifferenziert wirkende Blasten.

(Mikroskopische Objektivvergrößerung X100)




Blasten im M. biceps


Erstelldatum: 16.12.2006
Art: Zytologie
Material: Sonstiges, Angabe s. Beschreibung
Färbung: panoptisch

Mittelgroße Blasten im Punktionsausstrich des M. biceps; in einer Zelle feine, helle Zytoplasmavakuolen.

(Mikroskopische Objektivvergrößerung X100)




Knochenmark desselben Patienten bei Diagnosestellung der Burkitt-Leukämie


Erstelldatum: 16.12.2006
Art: Zytologie
Material: Knochenmark
Färbung: panoptisch

Im Knochenmark massenhaft mittelgroße Blasten mit vakuolisiertem Zytoplasma, mehrere Mitosen.

(Mikroskopische Objektivvergrößerung X40)




Burkitt-Leukämie - Detail


Erstelldatum: 16.12.2006
Art: Zytologie
Material: Knochenmark
Färbung: panoptisch

Detail des gleichen Präparateabschnitts: Sehr viele Blasten mit feinen, hellen Zytoplasmavakuolen. Mehrere Mitosen.

(Mikroskopische Objektivvergrößerung X100)




    Nach oben zum Seitenanfang Zum Seitenanfang                                                                                  Inhaltsverzeichnis (navigierbar) Sitemap  |  Druckversion des Dokuments  |  E-Mail-Versand