zum ONKODIN-Projekt   Deutsches MDS-Forum 2010  |  Links  |  Kontakt  |  Impressum  |  English Content English Content  
Inhaltsverzeichnis (navigierbar)Sitemap  
Maligne Lymphome
ALC-Lymphom
38-jährige Frau


38-jährige Frau mit ALC-Lymphom (T-Zell-Reihe)


Vorkommen: 38-jährige Patientin mit generalisierten Lymphknotenschwellungen, großem Mediastinaltumor und malignen Pleuraergüssen. Immunhistochemisch ALK-1-Expression und TIA-1-Expression nachgewiesen. - Im Verlauf zunächst gutes Ansprechen auf Chemotherapie, jedoch rasch eintretendes Rezidiv mit pulmonaler Manifestation und Hautbeteiligung.

Beschreibung/Beurteilung der Bildserie: Sehr große atypische, blastäre Zellen auf dem Hintergrund von unauffälligen, kleinen Lymphozyten.

Differenzialdiagnosen: Hodgkin-Lymphom, anaplastischer Subtyp des DLBCL




ALC-Lymphom im Lymphknotenfeinnadelpunktat


Erstelldatum: 29.12.2006
Art: Zytologie
Material: Lymphknoten
Färbung: panoptisch

Drei große, atypische Blasten. Daneben zahlreiche kleine und mittelgroße Lymphozyten.

(Mikroskopische Objektivvergrößerung X40)




ALC-Lymphom - Detail


Erstelldatum: 29.12.2006
Art: Zytologie
Material: Lymphknoten
Färbung: panoptisch

Große Blasten mit unruhig verteiltem Chromatin und relativ weitem, tiefbasophilen Zytoplasma.

(Mikroskopische Objektivvergrößerung X100)




Atypische Blasten bei ALC-Lymphom


Erstelldatum: 29.12.2006
Art: Zytologie
Material: Lymphknoten
Färbung: panoptisch

Sehr große, atypische Blasten. Daneben kleine, unauffällige Lymphozyten.

(Mikroskopische Objektivvergrößerung X100)




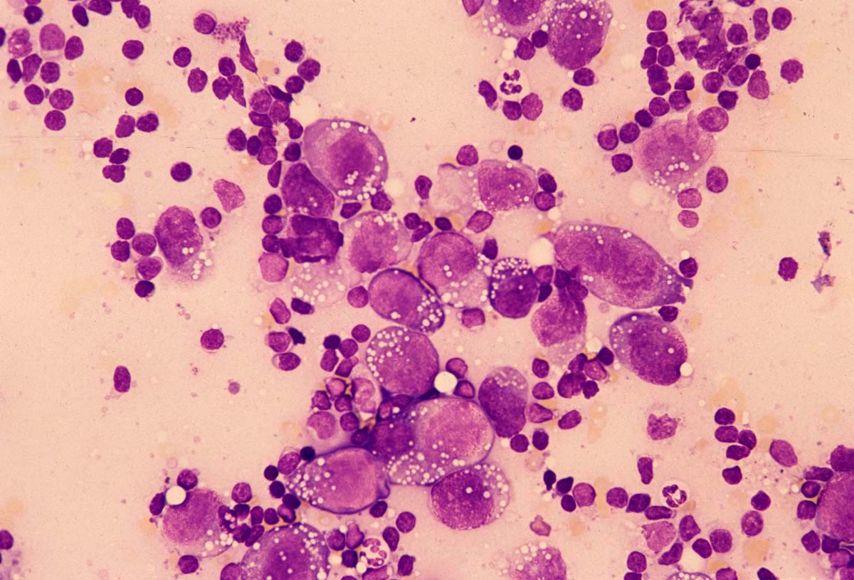
Blastenreicher Bezirk bei ALC-Lymphom


Erstelldatum: 29.12.2006
Art: Zytologie
Material: Lymphknoten
Färbung: panoptisch

Zahhlreiche sehr große, atypische Blasten und kleine, unauffällige Lymphozyten.

(Mikroskopische Objektivvergrößerung X40)




Weitere atypische Blasten


Erstelldatum: 29.12.2006
Art: Zytologie
Material: Lymphknoten
Färbung: panoptisch

Atypische Blasten mit sehr großen Kernen und multiplen Nukleolen.

(Mikroskopische Objektivvergrößerung X100)




ALC-Lymphom im Pleuraerguss


Erstelldatum: 29.12.2006
Art: Zytologie
Material: Pleuraerguss
Färbung: panoptisch

Zahlreiche sehr große Blasten im Pleuraerguss. Im Hintergrund etwas Blut.

(Mikroskopische Objektivvergrößerung X40)




Pulmonaler Befall bei ALC-Lymphom


Erstelldatum: 29.12.2006
Art: Zytologie
Material: Bronchiallavage
Färbung: panoptisch

Große atypische, blastäre Zelle in einer Bronchiallavage. Am linken Bildrand zilienbesetzte Zylinderepithelzelle. Einige neutrophile Granulozyten.

(Mikroskopische Objektivvergrößerung X100)




    Nach oben zum Seitenanfang Zum Seitenanfang                                                                                  Inhaltsverzeichnis (navigierbar) Sitemap  |  Druckversion des Dokuments  |  E-Mail-Versand