zum ONKODIN-Projekt   Deutsches MDS-Forum 2010  |  Links  |  Kontakt  |  Impressum  |  English Content English Content  
Inhaltsverzeichnis (navigierbar)Sitemap  
Bronchialkarzinom
Kleinzeller
Kleinzeller, Fall 1
Kleinzeller, Fall 2
Kleinzeller, Fall 3


Maligner Erguss bei kleinzellig-anaplastischem Bronchialkarzinom


Vorkommen: 75-jähriger Mann mit bekanntem kleinzellig-anaplastischem Bronchialkarzinom.

Beschreibung/Beurteilung der Bildserie: Zellreicher Erguss mit sehr vielen Karzinomzellen des bekannten Kleinzellers. Es handelt sich um blastäre Zellen in typischer, dichter Lagerung mit Verformung der Kerne untereinander.




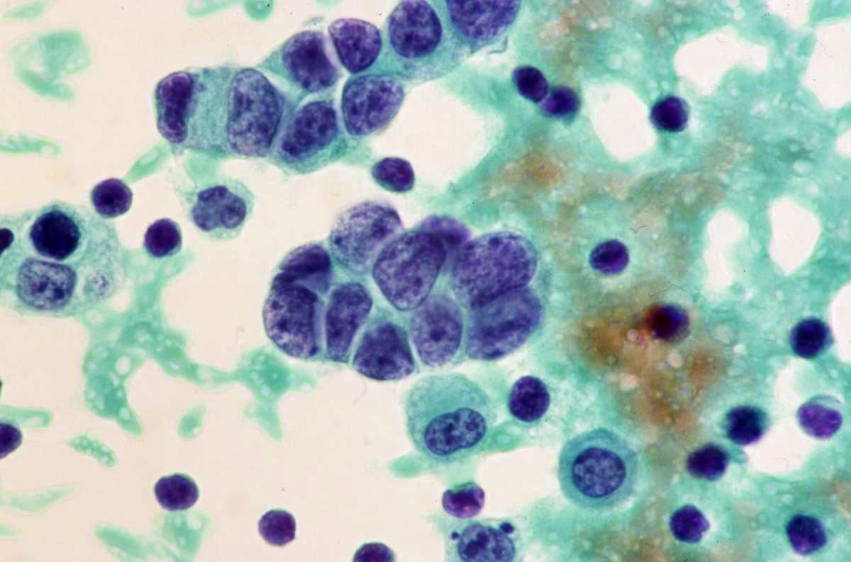
Kleine Karzinomzellverbände


Art: Zytologie
Material: Pleuraerguss
Färbung: panoptisch

In der Mitte zwei kleine Karzinomzellverbände, im Hintergrund viel Blut, Lymphozyten und einige Mesothelien.

(Mikroskopische Objektivvergrößerung X40)




Blastäre Karzinomzellen mit "moulding"


Art: Zytologie
Material: Pleuraerguss
Färbung: panoptisch

Karzinomzellen mit blastärer Chromatinstruktur in dichter Lagerung mit Verformung der Kerne untereinander (sogenanntes "moulding"). Unten eine Mesothelzelle.

(Mikroskopische Objektivvergrößerung X100)




Einzelne Karzinomzellen


Art: Zytologie
Material: Pleuraerguss
Färbung: panoptisch

Drei einzeln gelagerte Karzinomzellen mit blastärer Chromatinstruktur.

(Mikroskopische Objektivvergrößerung X100)




Karzinomzellen mit "moulding"


Art: Zytologie
Material: Pleuraerguss
Färbung: panoptisch

Karzinomzellen in typischer Lagerung mit Verformung der Kerne.

(Mikroskopische Objektivvergrößerung X100)




Kleine Karzinomzellverbände


Art: Zytologie
Material: Pleuraerguss
Färbung: Papanicolaou

Mehrere dichte Karzinomzellverbände, im Hintergrund viel Blut, einige Lymphozyten und Mesothelien.

(Mikroskopische Objektivvergrößerung X40)




Karzinomzellen mit dichtem Chromatin


Art: Zytologie
Material: Pleuraerguss
Färbung: Papanicolaou

Karzinomzellen mit sehr dichter Chromatinstruktur in kompakten Verbänden mit Verformung der Kerne untereinander. Unten zwei Mesothelien.

(Mikroskopische Objektivvergrößerung X100)




Karzinomzellverband in typischer Lagerung


Art: Zytologie
Material: Pleuraerguss
Färbung: Papanicolaou

Großer Karzinomzellverband. Typische Lagerung mit "moulding".

(Mikroskopische Objektivvergrößerung X40)




Karzinomzellen mit "moulding"


Art: Zytologie
Material: Pleuraerguss
Färbung: Papanicolaou

Karzinomzellen in dichter, mosaikartiger Lagerung. Sehr dichtes Chromatin.

(Mikroskopische Objektivvergrößerung X100)




    Nach oben zum Seitenanfang Zum Seitenanfang                                                                                  Inhaltsverzeichnis (navigierbar) Sitemap  |  Druckversion des Dokuments  |  E-Mail-Versand