zum ONKODIN-Projekt   Deutsches MDS-Forum 2010  |  Links  |  Kontakt  |  Impressum  |  English Content English Content  
Inhaltsverzeichnis (navigierbar)Sitemap  
Bronchialkarzinom
Adenokarzinom
Adenokarzinom, Fall 1
Adenokarzinom, Fall 2
Adenokarzinom, Fall 3


Schleimbildendes Adenokarzinom in Einzelzelllagerung


Vorkommen: 62-jähriger Mann mit Adenokarzinom der Lunge

Beschreibung/Beurteilung der Bildserie: Maligner Pleuraerguss mit Nachweis eines schleimbildenden Adenokarzinoms.




Einzeln gelagerte Karzinomzellen


Art: Zytologie
Material: Pleuraerguss
Färbung: panoptisch

Große maligne Einzelzellen mit hyperchromatischen Kernen. Oben rechts zwei Mitosen. Zum Größenvergleich einige kleine Lymphozyten.

(Mikroskopische Objektivvergrößerung X40)




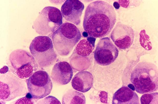
Karzinomzellen mit Sekretvakuolen


Art: Zytologie
Material: Pleuraerguss
Färbung: panoptisch

Karzinomzellen mit dunklen, exzentrisch gelagerten Kernen und Sekretvakuole in streng dissoziierter Lagerung.

(Mikroskopische Objektivvergrößerung X100)




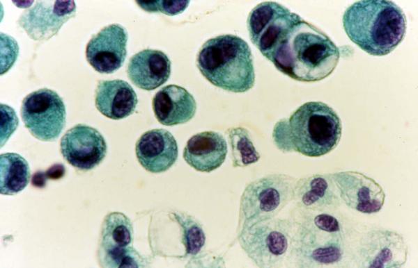
Karzinomzellen und Mesothelien


Erstelldatum: 21.01.2005
Art: Zytologie
Material: Pleuraerguss
Färbung: Papanicolaou

Zahlreiche Karzinomzellen mit sehr dunkeln Kernen in dissoziierter Lagerung. Mitte und unten einige Mesothelien mit deutlich helleren Kernen.

(Mikroskopische Objektivvergrößerung X40)




Maligne Einzelzellen


Art: Zytologie
Material: Pleuraerguss
Färbung: Papanicolaou

Karzinomzellen mit hyperchromatischen Kernen, meistens dissoziiert gelagert, oben rechts ein kleiner Verband. Unten rechts Mesothelien mit kleineren Kernen und unauffälliger Chromatinstruktur.

(Mikroskopische Objektivvergrößerung X100)




    Nach oben zum Seitenanfang Zum Seitenanfang                                                                                  Inhaltsverzeichnis (navigierbar) Sitemap  |  Druckversion des Dokuments  |  E-Mail-Versand