zum ONKODIN-Projekt   Deutsches MDS-Forum 2010  |  Links  |  Kontakt  |  Impressum  |  English Content English Content  
Inhaltsverzeichnis (navigierbar)Sitemap  
Bronchialkarzinom
Plattenepithelkarzinom
Plattenepithelkarzinom


Plattenepithelkarzinom


Vorkommen: 69-jähriger Mann mit adenosquamösen Bronchialkarzinom.

Beschreibung/Beurteilung der Bildserie: Maligner Erguss mit Zellen eines verhornenden Plattenepithelkarzinoms, gut vereinbar mit dem plattenepithelialen Anteil des bekannten adenosquamösen Karzinoms.




Bronchialkarzinom (Plattenepithel)


Art: Zytologie
Material: Pleuraerguss
Färbung: panoptisch

Blutiger Erguss, viele Mesothelien, links unten Karzinomzellen.

(Mikroskopische Objektivvergrößerung X40)




Bronchialkarzinom (Plattenepithel)


Art: Zytologie
Material: Pleuraerguss
Färbung: panoptisch

In der Mitte Karzinomzelle mit dichtem Zytoplasma.

(Mikroskopische Objektivvergrößerung X100)




Bronchialkarzinom (Plattenepithel)


Art: Zytologie
Material: Pleuraerguss
Färbung: panoptisch

Rechts Karzinomzellverband, links Mesothelien.

(Mikroskopische Objektivvergrößerung X40)




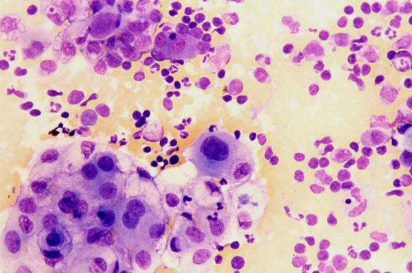
Bronchialkarzinom (Plattenepithel)


Art: Zytologie
Material: Pleuraerguss
Färbung: panoptisch

Zahlreiche Karzinomzellen, teilweise mit Verhornung.

(Mikroskopische Objektivvergrößerung X40)




Bronchialkarzinom (Plattenepithel)


Art: Zytologie
Material: Pleuraerguss
Färbung: panoptisch

Zahlreiche Karzinomzellen, Verhornung und Nekrose.

(Mikroskopische Objektivvergrößerung X40)




Bronchialkarzinom (Plattenepithel)


Art: Zytologie
Material: Pleuraerguss
Färbung: Papanicolaou

Mehrere große, pleomorphe Karzinomzellen, viel Blut.

(Mikroskopische Objektivvergrößerung X100)




Bronchialkarzinom (Plattenepithel)


Art: Zytologie
Material: Pleuraerguss
Färbung: Papanicolaou

Eine verhornte Karzinomzelle.

(Mikroskopische Objektivvergrößerung X100)




    Nach oben zum Seitenanfang Zum Seitenanfang                                                                                  Inhaltsverzeichnis (navigierbar) Sitemap  |  Druckversion des Dokuments  |  E-Mail-Versand