zum ONKODIN-Projekt   Deutsches MDS-Forum 2010  |  Links  |  Kontakt  |  Impressum  |  English Content English Content  
Inhaltsverzeichnis (navigierbar)Sitemap  
Karzinome
CUP - Karzinom unbekannten Ursprungs
CUP-Syndrom


CUP-Syndrom (Adenokarzinom)




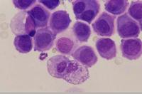
Art: Zytologie
Material: Pleuraerguss
Färbung: panoptisch

Dissoziiert gelagerte Tumorzellen, oben Mesothelknospe.




Art: Zytologie
Material: Pleuraerguss
Färbung: panoptisch

Oben Tumorzellen, unten zwei Mesothelien.




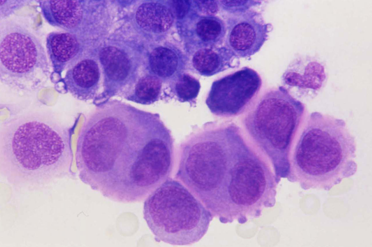
Art: Zytologie
Material: Pleuraerguss
Färbung: panoptisch

Unten Tumorzellen mit großen Kernen, oben Mesothelien.




Art: Zytologie
Material: Pleuraerguss
Färbung: Papanicolaou

Links Tumorzellen mit großen Kernen, rechts Mesothelien.




Art: Zytologie
Material: Pleuraerguss
Färbung: panoptisch

Links Tumorzellen mit großen Kernen, rechts Monozyten.




    Nach oben zum Seitenanfang Zum Seitenanfang                                                                                  Inhaltsverzeichnis (navigierbar) Sitemap  |  Druckversion des Dokuments  |  E-Mail-Versand