zum ONKODIN-Projekt   Deutsches MDS-Forum 2010  |  Links  |  Kontakt  |  Impressum  |  English Content English Content  
Inhaltsverzeichnis (navigierbar)Sitemap  
Karzinome
Nierenzellkarzinom
Nierenzellkarzinom


Nierenzellkarzinom




Art: Zytologie
Material: Pleuraerguss
Färbung: panoptisch

Große, vakuolisierte Tumorzellen, sehr viel Blut.




Art: Zytologie
Material: Pleuraerguss
Färbung: panoptisch

Große, vakuolisierte Tumorzellen, sehr viel Blut.




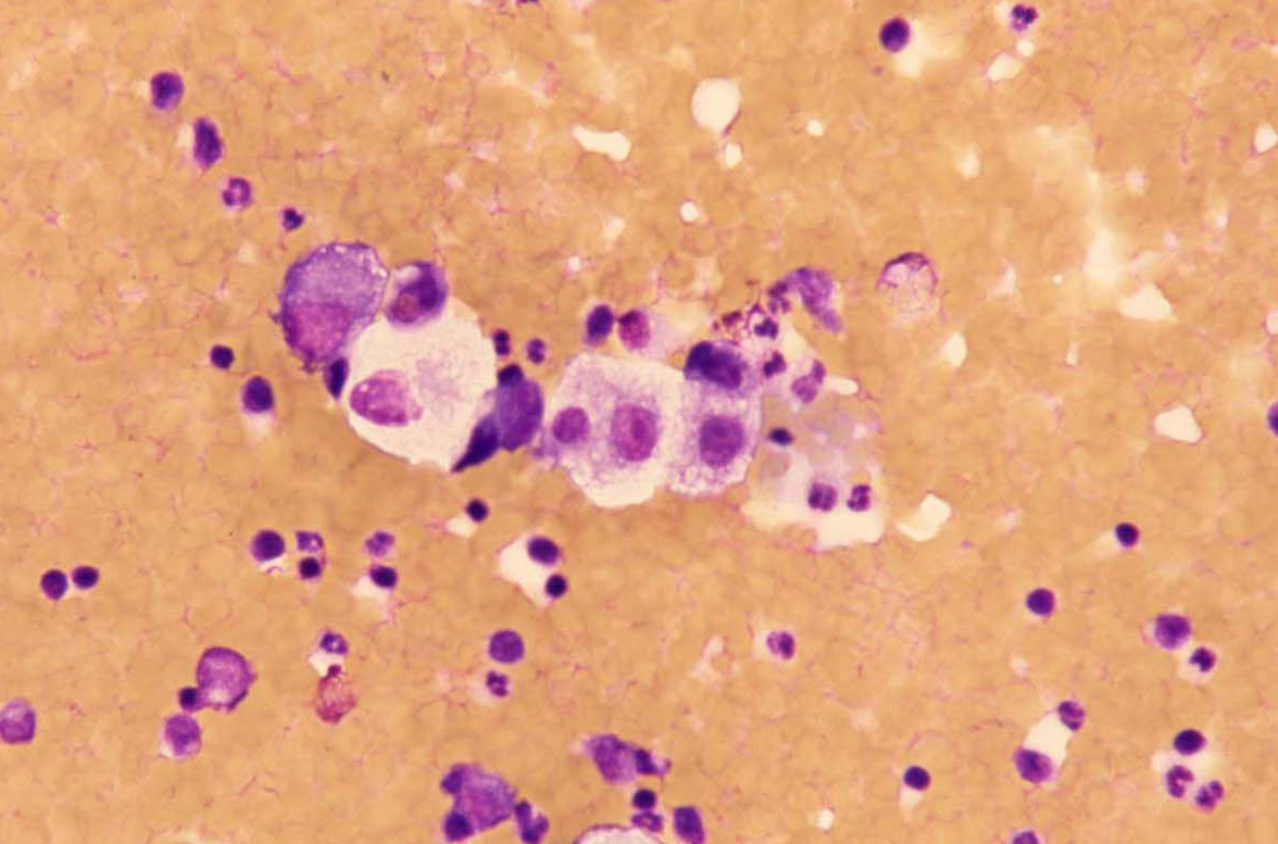
Art: Zytologie
Material: Pleuraerguss
Färbung: panoptisch

Große Tumorzellen mit Nukleolen, sehr viel Blut.




Art: Zytologie
Material: Pleuraerguss
Färbung: Papanicolaou

Große Tumorzellen, sehr viel Blut.




Art: Zytologie
Material: Pleuraerguss
Färbung: Papanicolaou

Große Tumorzellen mit weitem Zytoplasma, sehr viel Blut.




Art: Zytologie
Material: Pleuraerguss
Färbung: Papanicolaou

Große Tumorzellen mit Nukleolen, sehr viel Blut.




    Nach oben zum Seitenanfang Zum Seitenanfang                                                                                  Inhaltsverzeichnis (navigierbar) Sitemap  |  Druckversion des Dokuments  |  E-Mail-Versand