zum ONKODIN-Projekt   Deutsches MDS-Forum 2010  |  Links  |  Kontakt  |  Impressum  |  English Content English Content  
Inhaltsverzeichnis (navigierbar)Sitemap  
Karzinome
Ösophaguskarzinom
Platteneppithelkarzinom des Ösophagus


Plattenepithelkarzinom des Ösophagus




Art: Zytologie
Material: Pleuraerguss
Färbung: panoptisch

Einzelne große Tumorzelle.




Art: Zytologie
Material: Pleuraerguss
Färbung: panoptisch

Einzelne Tumorzelle mit violetten Granula.




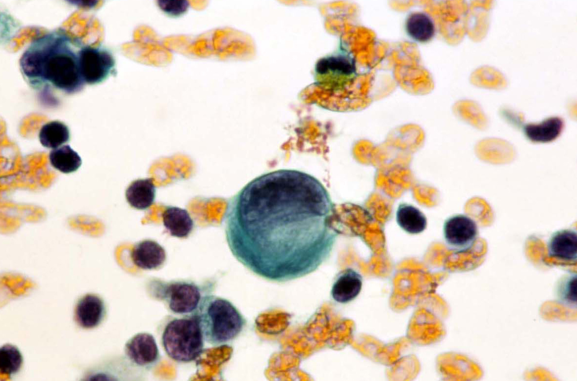
Art: Zytologie
Material: Pleuraerguss
Färbung: Papanicolaou

Einzelne große Tumorzelle mit hyperchromatischem Kern.




Art: Zytologie
Material: Pleuraerguss
Färbung: Papanicolaou

Zwei große Tumorzellen mit unregelmäßigen Kernen.




    Nach oben zum Seitenanfang Zum Seitenanfang                                                                                  Inhaltsverzeichnis (navigierbar) Sitemap  |  Druckversion des Dokuments  |  E-Mail-Versand