zum ONKODIN-Projekt   Deutsches MDS-Forum 2010  |  Links  |  Kontakt  |  Impressum  |  English Content English Content  
Inhaltsverzeichnis (navigierbar)Sitemap  
Karzinome
Kolonkarzinom
Kolonkarzinom


Kolonkarzinom




Art: Zytologie
Färbung: panoptisch

Rundlicher Tumorzellverband.




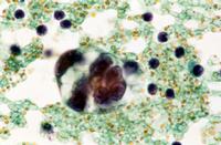
Art: Zytologie
Färbung: panoptisch

In der Mitte drei große Tumorzellen.




Art: Zytologie
Färbung: panoptisch

Drei große Tumorzellen mit schaumigem Zytoplasma.




Art: Zytologie
Färbung: Papanicolaou

Tumorzellen mit vakuolisiertem Zytoplasma.




Art: Zytologie
Färbung: Papanicolaou

Tumorzellen mit hyperchromatischen Kernen.




Art: Zytologie
Färbung: Papanicolaou

Große, einzelne Tumorzelle mit großem Kern.




    Nach oben zum Seitenanfang Zum Seitenanfang                                                                                  Inhaltsverzeichnis (navigierbar) Sitemap  |  Druckversion des Dokuments  |  E-Mail-Versand