zum ONKODIN-Projekt   Deutsches MDS-Forum 2010  |  Links  |  Kontakt  |  Impressum  |  English Content English Content  
Inhaltsverzeichnis (navigierbar)Sitemap  
Karzinome
Magenkarzinom
Magenkarzinom


Magenkarzinom




Art: Zytologie
Färbung: panoptisch

Tumorzellverband, rechts Mesothelien.

(Mikroskopische Objektivvergrößerung X400)




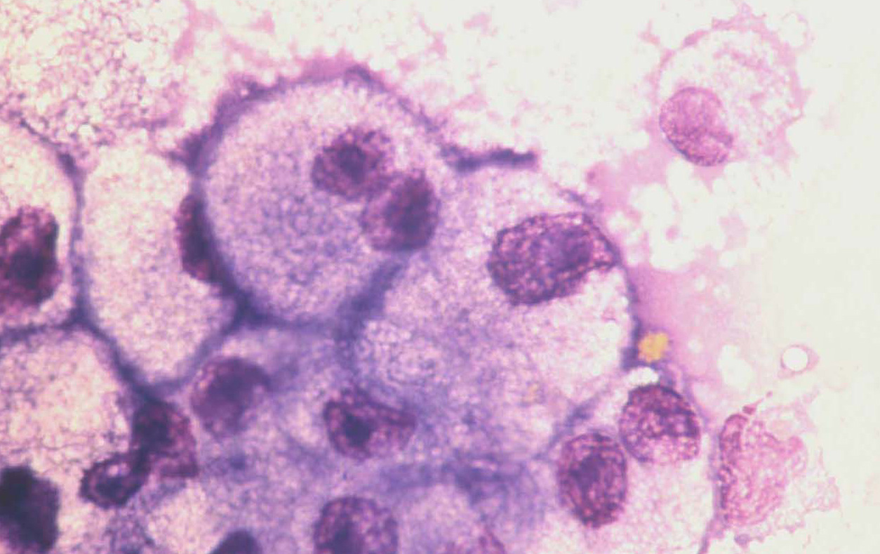
Art: Zytologie
Färbung: panoptisch

Tumorzellen mit Makronukleolus, links eine Mesothelzelle.

(Mikroskopische Objektivvergrößerung X1000)




Art: Zytologie
Färbung: panoptisch

Tumorzellen mit schaumigem Zytoplasma.

(Mikroskopische Objektivvergrößerung X400)




Art: Zytologie
Färbung: panoptisch

Tumorzellen mit schaumigem Zytoplasma.

(Mikroskopische Objektivvergrößerung X1000)




Art: Zytologie
Färbung: Papanicolaou

Tumorzellen mit schaumigem Zytoplasma.




Art: Zytologie
Färbung: Papanicolaou

Tumorzellen mit schaumigem Zytoplasma.




Art: Zytologie
Färbung: Papanicolaou

Tumorzellverband, links eine Mesothelzelle.




    Nach oben zum Seitenanfang Zum Seitenanfang                                                                                  Inhaltsverzeichnis (navigierbar) Sitemap  |  Druckversion des Dokuments  |  E-Mail-Versand