zum ONKODIN-Projekt   Deutsches MDS-Forum 2010  |  Links  |  Kontakt  |  Impressum  |  English Content English Content  
Inhaltsverzeichnis (navigierbar)Sitemap  
Lymphome
Hochmaligne Non-Hodgkin-Lymphome
Immunoblastisches Lymphom


Immunoblastisches Lymphom




Art: Zytologie
Material: Pleuraerguss
Färbung: panoptisch

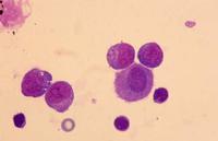
Große Blasten, in der Mitte eine Mesothelzelle.




Art: Zytologie
Material: Pleuraerguss
Färbung: panoptisch

Vier Blasten, eine Mesothelzelle, drei Lymphozyten.




Art: Zytologie
Material: Pleuraerguss
Färbung: panoptisch

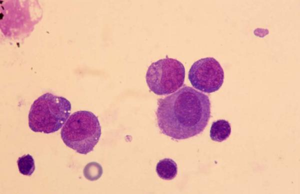
Zwei Blasten, in der Mitte zwei Mesothelien.




Art: Zytologie
Material: Pleuraerguss
Färbung: panoptisch

Blasten mit Nukleolus und basophilem Zytoplasma.




Art: Zytologie
Material: Pleuraerguss
Färbung: panoptisch

Große, einzeln gelagerte Blasten, in der Mitte ein Monozyt.




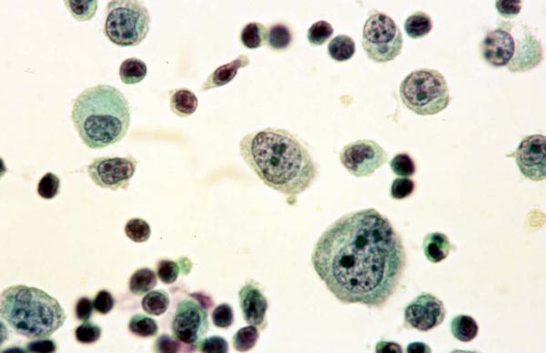
Art: Zytologie
Material: Pleuraerguss
Färbung: Papanicolaou

Große Blasten, einige Mesothelien, Lymphozyten.




Art: Zytologie
Material: Pleuraerguss
Färbung: Papanicolaou

Große, einzeln gelagerte Blasten, links oben Mesothelzelle.




Art: Zytologie
Material: Pleuraerguss
Färbung: Papanicolaou

Blasten mit großen Nukleolen, Mitte und oben Mesothelien.




Art: Zytologie
Material: Pleuraerguss
Färbung: Papanicolaou

Einzeln gelagerte Blasten, doppelkernige Mesothelzelle.




    Nach oben zum Seitenanfang Zum Seitenanfang                                                                                  Inhaltsverzeichnis (navigierbar) Sitemap  |  Druckversion des Dokuments  |  E-Mail-Versand