zum ONKODIN-Projekt   Deutsches MDS-Forum 2010  |  Links  |  Kontakt  |  Impressum  |  English Content English Content  
Inhaltsverzeichnis (navigierbar)Sitemap  
Lymphome
Hodgkin-Lymphom
Hodgkin-Lymphom


Hodgkin-Lymphom




Art: Zytologie
Material: Pleuraerguss
Färbung: panoptisch

Eine große Hodgkin-Zelle, einige Monozyten.




Art: Zytologie
Material: Pleuraerguss
Färbung: panoptisch

Große Hodgkin-Zelle, viele Monozyten, zwei Lymphozyten.




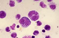
Art: Zytologie
Material: Pleuraerguss
Färbung: panoptisch

Zwei Hodgkin-Zellen, einige Monozyten und Lymphozyten.




Art: Zytologie
Material: Pleuraerguss
Färbung: panoptisch

Hodgkin-Zelle mit großen Nukleolen, einige Monozyten.




Art: Zytologie
Material: Pleuraerguss
Färbung: panoptisch

Hodgkin-Zelle mit großen Nukleolen, einige Monozyten.




    Nach oben zum Seitenanfang Zum Seitenanfang                                                                                  Inhaltsverzeichnis (navigierbar) Sitemap  |  Druckversion des Dokuments  |  E-Mail-Versand