zum ONKODIN-Projekt   Deutsches MDS-Forum 2010  |  Links  |  Kontakt  |  Impressum  |  English Content English Content  
Inhaltsverzeichnis (navigierbar)Sitemap  
Ergusszytologie
Mesotheliome
Mesotheliom: 66-jähriger Mann
Mesotheliom: 68-jähriger Mann
Mesotheliom: 92-jähriger Mann


Pleuramesotheliom: 66-jähriger Mann




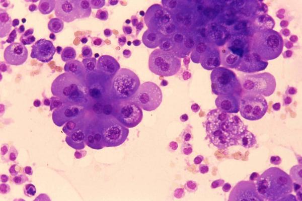
Art: Zytologie
Material: Pleuraerguss
Färbung: panoptisch

Atypische Mesothelien in großen, polyzyklisch begrenzten Verbänden.

(Mikroskopische Objektivvergrößerung X40)




Art: Zytologie
Material: Pleuraerguss
Färbung: panoptisch

Atypische Mesothelien mit großen Nukleolen und feinen Zytoplasmavakuolen, die den Kern nicht deformieren.

(Mikroskopische Objektivvergrößerung X100)




Art: Zytologie
Material: Pleuraerguss
Färbung: Papanicolaou

Atypische Mesothelien mit klar erkennbaren Zellgrenzen und "Fensterung" zwischen den Zellen.

(Mikroskopische Objektivvergrößerung X100)




Art: Zytologie
Material: Pleuraerguss
Färbung: Papanicolaou

Sehr große, atypische Mesothelzelle mit Hof um die beiden Kerne.

(Mikroskopische Objektivvergrößerung X100)




Asbestkörperchen


Art: Zytologie
Material: Bronchiallavage
Färbung: Papanicolaou

Zur Ergänzung: Asbestkörperchen in der Bronchiallavage desselben Patienten. In der Umgebung Alveolarmakrophagen.

(Mikroskopische Objektivvergrößerung X100)




    Nach oben zum Seitenanfang Zum Seitenanfang                                                                                  Inhaltsverzeichnis (navigierbar) Sitemap  |  Druckversion des Dokuments  |  E-Mail-Versand