zum ONKODIN-Projekt   Deutsches MDS-Forum 2010  |  Links  |  Kontakt  |  Impressum  |  English Content English Content  
Inhaltsverzeichnis (navigierbar)Sitemap  
Reaktive Veränderungen
Granulozytenreicher Erguss
Empyem


Empyem


Vorkommen: 77-jähriger Mann. Es handelt sich um einen kardialen Stauungserguss, der sekundär superinfiziert ist.

Beschreibung/Beurteilung der Bildserie: Empyem mit mikroskopischem Nachweis von Bakterien.




Art: Zytologie
Material: Pleuraerguss
Färbung: panoptisch

Sehr viele neutrophile Granulozyten, Detritus.

(Mikroskopische Objektivvergrößerung X40)




Art: Zytologie
Material: Pleuraerguss
Färbung: panoptisch

Viele neutrophile Granulozyten, Detritus.

(Mikroskopische Objektivvergrößerung X100)




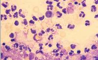
Art: Zytologie
Material: Pleuraerguss
Färbung: panoptisch

Viele neutrophile Granulozyten, Detritus.

(Mikroskopische Objektivvergrößerung X100)




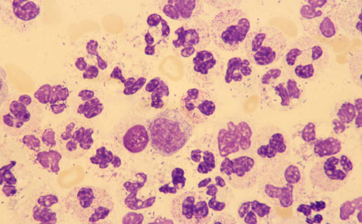
Art: Zytologie
Material: Pleuraerguss
Färbung: panoptisch

Viele neutrophile Granulozyten, sehr viele Bakterien.

(Mikroskopische Objektivvergrößerung X100)




Art: Zytologie
Material: Pleuraerguss
Färbung: panoptisch

Viele neutrophile Granulozyten, sehr viele Bakterien.

(Mikroskopische Objektivvergrößerung X100)




    Nach oben zum Seitenanfang Zum Seitenanfang                                                                                  Inhaltsverzeichnis (navigierbar) Sitemap  |  Druckversion des Dokuments  |  E-Mail-Versand