zum ONKODIN-Projekt   Deutsches MDS-Forum 2010  |  Links  |  Kontakt  |  Impressum  |  English Content English Content  
Inhaltsverzeichnis (navigierbar)Sitemap  
Ergusszytologie
Sonstige Neoplasien
Fibroangiosarkom
Malignes fibröses Histiozytom
Seminom


Malignes fibröses Histiozytom

Danksagung: Das Präparat und die klinischen Angaben stellte Dr. B. Lehmann/Göttingen zur Verfügung.




Art: Zytologie
Material: Aszites
Färbung: panoptisch

Große atypische Zellen, Mitte oben eine unauffällige Mesothelzelle. Im Hintergrund viele Granulozyten.

(Mikroskopische Objektivvergrößerung X40)




Art: Zytologie
Material: Aszites
Färbung: panoptisch

Zwei große, atypische Zellen, oben eine unauffällige Mesothelzelle.

(Mikroskopische Objektivvergrößerung X100)




Art: Zytologie
Material: Aszites
Färbung: panoptisch

Rechts Sarkomzelle, links unauffällige Mesothelzelle. Im Hintergrund neutrophile Granulozyten.

(Mikroskopische Objektivvergrößerung X100)




Art: Zytologie
Material: Aszites
Färbung: panoptisch

Atypische Zelle mit hyperchromatischem Kern und konfluierenden Zytoplasmavakuolen.

(Mikroskopische Objektivvergrößerung X100)




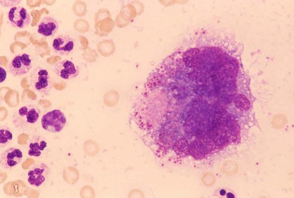
Art: Zytologie
Material: Aszites
Färbung: panoptisch

Maligne Riesenzelle mit zahlreichen Kernen und rötlichen Granula.

(Mikroskopische Objektivvergrößerung X100)




    Nach oben zum Seitenanfang Zum Seitenanfang                                                                                  Inhaltsverzeichnis (navigierbar) Sitemap  |  Druckversion des Dokuments  |  E-Mail-Versand