zum ONKODIN-Projekt   Deutsches MDS-Forum 2010  |  Links  |  Kontakt  |  Impressum  |  English Content English Content  
Inhaltsverzeichnis (navigierbar)Sitemap  
Akute myeloische Leukämien
AML M4
AML M4 - Abb. 1
AML M4 - Abb. 2
AML M4 - Abb. 3
AML M4 - Bildserie 1
AML M4 - Bildserie 2
AML M4: Falldarstellung 1
AML M4: Falldarstellung 2


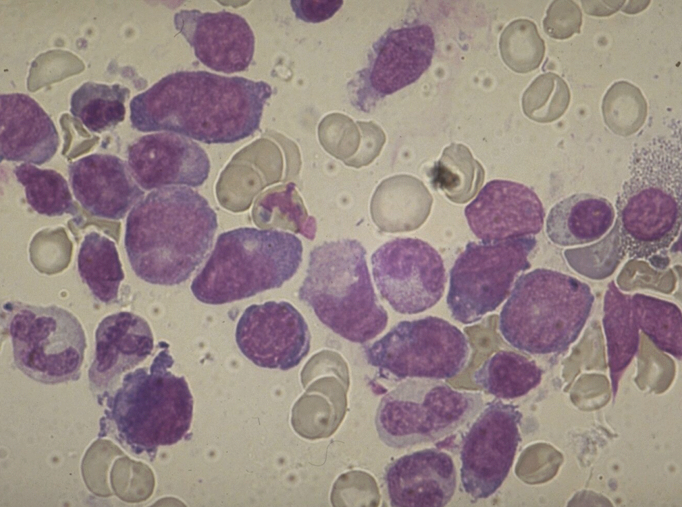
AML M4 FAB: Akute myelomonozytäre Leukämie - Abbildung 2




AML M4


Art: Zytologie
Material: Knochenmark
Färbung: panoptisch

AML M4: Akute myelomonozytäre Leukämie, Knochenmark. Es finden sich z.T. bizarre Mischformen von Monozyten und Granulozyten




    Nach oben zum Seitenanfang Zum Seitenanfang                                                                                  Inhaltsverzeichnis (navigierbar) Sitemap  |  Druckversion des Dokuments  |  E-Mail-Versand  
 
"Akute myeloische Leukämie - Pathophysiologie, Diagnostik, Therapie, Prognose" publiziert bei ONKODIN in Kooperation mit "Deutscher Ärzte-Verlag"
(Publikation als Buch)
Deutscher Ärzte-Verlag  Deutscher Ärzte-Verlag
und in Kooperation mit "Studien-Allianz Leukämie"
Deutscher Ärzte-Verlag  Studien-Allianz Leukämien
[Mehr]
Interner Link
Der Hämatologische Notfall. Sysmex Kalender 2008 [Mehr]