zum ONKODIN-Projekt   Deutsches MDS-Forum 2010  |  Links  |  Kontakt  |  Impressum  |  English Content English Content  
Inhaltsverzeichnis (navigierbar)Sitemap  
AML M4
AML M4: Falldarstellung 1
Knochenmarkanalyse
Zytochemie
Immunophänotypisierung


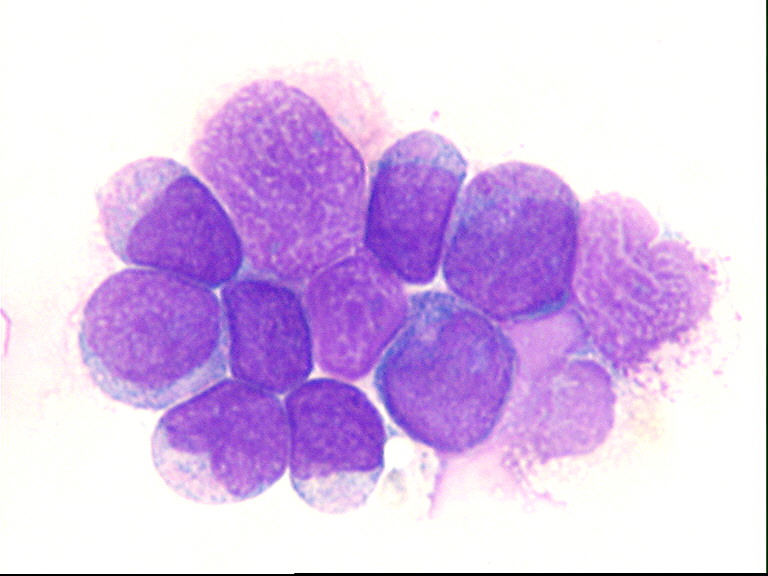
Knochenmarkanalyse


Beschreibung/Beurteilung der Bildserie: Der Patient hat ein hyperzelluläres Knochenmark. Es findet sich eine Population großer Blasten von etwa 18 µm, die auffällig sind. Zusätzlich finden sich isolierte monozytäre Zellen multipler Entwicklungsstadien. Die Ergebnisse der Knochenmarkzytologie und die zytochemische Färbung zeigen eine akute myeloische Leukämie M4/M5 FAB.




Art: Zytologie
Material: Knochenmark
Färbung: panoptisch

Stark hyperzelluläres Knochenmark




Art: Zytologie
Material: Knochenmark
Färbung: panoptisch




Art: Zytologie
Material: Knochenmark
Färbung: panoptisch




    Nach oben zum Seitenanfang Zum Seitenanfang                                                                                  Inhaltsverzeichnis (navigierbar) Sitemap  |  Druckversion des Dokuments  |  E-Mail-Versand  
 
"Akute myeloische Leukämie - Pathophysiologie, Diagnostik, Therapie, Prognose" publiziert bei ONKODIN in Kooperation mit "Deutscher Ärzte-Verlag"
(Publikation als Buch)
Deutscher Ärzte-Verlag  Deutscher Ärzte-Verlag
und in Kooperation mit "Studien-Allianz Leukämie"
Deutscher Ärzte-Verlag  Studien-Allianz Leukämien
[Mehr]
Interner Link
Der Hämatologische Notfall. Sysmex Kalender 2008 [Mehr]