zum ONKODIN-Projekt   Deutsches MDS-Forum 2010  |  Links  |  Kontakt  |  Impressum  |  English Content English Content  
Inhaltsverzeichnis (navigierbar)Sitemap  
AML M2
AML M2: Fall 3; t(8;21), AML1-ETO
Peripheres Blut
Knochenmark


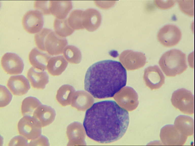
AML FAB M2: Peripheres Blut




AML M2 Blasten


Erstelldatum: 07.02.2007
Art: Zytologie
Material: Blut
Färbung: panoptisch

AML M2 Blasten mit ovalem Zellkern.

Zellform: glatt begrenzt; Zellgröße: mittelgroß; Zytoplasmagröße: schmal; Zytoplasmafarbe: basophil; Auerstäbchen: keine; Granula: wenig, eosinophil, fein; Kernform: oval; Kernchromatin: fein, aufgelockert; Nukleolus: häufig, deutlich; Zelldifferenzierung: gering




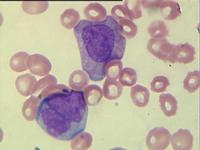
AML M2 Blast mit lobuliertem Zellkern und reiferer Promyelozyt / Myelozyt


Erstelldatum: 07.02.2007
Art: Zytologie
Material: Blut
Färbung: panoptisch

AML M2 Blast mit lobuliertem Zellkern (links unten; Zytoplasmafarbe: basophil; Kernform: lobuliert; Nukleus: deutlich) und reiferer Promyelozyt / Myelozyt mit eosinophiler Granulation im peripheren Blut.




    Nach oben zum Seitenanfang Zum Seitenanfang                                                                                  Inhaltsverzeichnis (navigierbar) Sitemap  |  Druckversion des Dokuments  |  E-Mail-Versand  
 
"Akute myeloische Leukämie - Pathophysiologie, Diagnostik, Therapie, Prognose" publiziert bei ONKODIN in Kooperation mit "Deutscher Ärzte-Verlag"
(Publikation als Buch)
Deutscher Ärzte-Verlag  Deutscher Ärzte-Verlag
und in Kooperation mit "Studien-Allianz Leukämie"
Deutscher Ärzte-Verlag  Studien-Allianz Leukämien
[Mehr]
Interner Link
Der Hämatologische Notfall. Sysmex Kalender 2008 [Mehr]