zum ONKODIN-Projekt   Deutsches MDS-Forum 2010  |  Links  |  Kontakt  |  Impressum  |  English Content English Content  
Inhaltsverzeichnis (navigierbar)Sitemap  
AML M6
AML M6b
AML M6b - Abb.
AML M6b - Bildserie


AML M6b FAB: Akute Erythroleukämie, rein erythroid - Bildserie


Bemerkung: Hb-Wert 9,2 g/dl, Leukozyten 3800 µ/l, Thrombozyten 74000 µ/l, LDH 6000 U/l; anamnestisch Rektum- und Urothelkarzinom, Z.n. 5-FU Chemotherapie und Beckenbestrahlung




Material: Knochenmark
Färbung: panoptisch

Abb. 1: Das Knochenmark erscheint ziemlich blau gefärbt.

(Mikroskopische Objektivvergrößerung X10)




Material: Knochenmark
Färbung: panoptisch

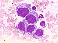
Abb. 2: Die Zellen, welche in den folgenden Abbildung bei höherer Vergrößerung betrachtet werden, in der Übersicht.




Material: Knochenmark
Färbung: panoptisch

Abb. 3: Zwischen den Zellen ist sehr dichtes Farbpigment von zerplatzten Zellen zu sehen, was die hohe LDH erklärt - dies ist kein Artefakt der Färbung.




Material: Knochenmark
Färbung: panoptisch

Abb. 4: Eine weitere Abbildung der Zellen, um die es in der Folge geht.




Material: Knochenmark
Färbung: panoptisch

Abb. 5: Die Zellen sind sehr groß im Verhältnis zu dem segmentkernigen Granulozyten, auch im Vergleich zu dem Normoblasten rechts oben.




Material: Knochenmark
Färbung: panoptisch

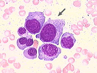
Abb. 6: Welche Einordnung dieser Zellen wäre denkbar?
1. Diese Zellen gehören zur myeloischen Reihe.
2. Diese Zellen gehören zur roten Reihe.
3. Dies sind Plasmazellen bzw. -blasten.
4. Es sind Tumorzellen.

In der Diagnostik sind die Zellen komplett Peroxidase- sowie Esterase-negativ. In der Immunphänotypisierung weisen sie keine Eigenschaften von Plasmazellen auf. Die histologische Befundung ergibt, dass es keine Tumorzellen sind, sie liegen auch an keiner Stelle in Haufen.




Material: Knochenmark
Zytochemie: PAS-Reaktion

Abb. 7: In der Immunphänotypisierung sind diese Zellen alle für Erythropoese-Marker positiv und haben eine ganz grobschollige, sehr starke PAS-Reaktion.




Material: Knochenmark
Zytochemie: PAS-Reaktion

Abb. 8: Es sind Erythroblasten, welche in der Differenzierung über 80% aller Zellen ausmachen. Man sieht keine myeloischen Blasten. Dies ist eine AML M6b (Erythroleukämie, ohne Beteiligung der myeloischen Reihe). In der Chromosomenanalyse sind diese Zellen alle komplex aberrant, mit den klassischen Markern (Chromosom 5 ist betroffen, sehr viele Zugewinne).




Material: Knochenmark
Färbung: panoptisch

Abb. 9: Differenzialdiagnostische Überlegungen:
Plasmazellen sind charakterisiert durch ihr intensiv basophiles Zytoplasma, dieses findet man auch bei Blasten beim Burkitt-Lymphom, Blasten der B-ALL sowie bei Monoblasten (welche diese Zellen auch sein könnten, Esterase ist aber negativ!).




Material: Knochenmark
Färbung: panoptisch

Abb. 10: Das Chromatin sieht nicht aus wie bei Tumorzellen, dort ist es fädig, strähnig - man sieht keine Tumorzellverbände.




    Nach oben zum Seitenanfang Zum Seitenanfang                                                                                  Inhaltsverzeichnis (navigierbar) Sitemap  |  Druckversion des Dokuments  |  E-Mail-Versand  
 
Vollständiger Bild-Ton-Vortrag: Akute Erythroleukämie, rein erythroid (AML M6b FAB) [Mehr]
"Akute myeloische Leukämie - Pathophysiologie, Diagnostik, Therapie, Prognose" publiziert bei ONKODIN in Kooperation mit "Deutscher Ärzte-Verlag"
(Publikation als Buch)
Deutscher Ärzte-Verlag  Deutscher Ärzte-Verlag
und in Kooperation mit "Studien-Allianz Leukämie"
Deutscher Ärzte-Verlag  Studien-Allianz Leukämien
[Mehr]
Interner Link
Der Hämatologische Notfall. Sysmex Kalender 2008 [Mehr]