zum ONKODIN-Projekt   Deutsches MDS-Forum 2010  |  Links  |  Kontakt  |  Impressum  |  English Content English Content  
Inhaltsverzeichnis (navigierbar)Sitemap  
ALL, spezielle Merkmale
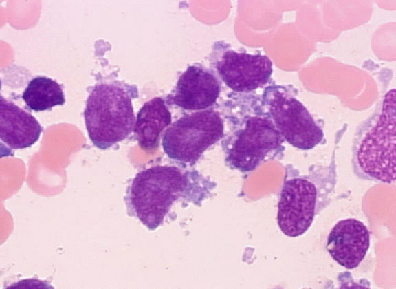
ALL mit zerzaustem Zytoplasma
ALL mit zerzaustem Zytoplasma


ALL mit zerzaustem Zytoplasma




Art: Zytologie
Material: Blut
Färbung: panoptisch

Zerzaustes Zytoplasma. Die Zellen wirken wie Tumorzellen.




Material: Blut
Färbung: panoptisch

Im peripheren Blut sind die Zellen etwas weniger zerzaust.




    Nach oben zum Seitenanfang Zum Seitenanfang                                                                                  Inhaltsverzeichnis (navigierbar) Sitemap  |  Druckversion des Dokuments  |  E-Mail-Versand  
 
Interner Link
Der Hämatologische Notfall. Sysmex Kalender 2008 [Mehr]