zum ONKODIN-Projekt   Deutsches MDS-Forum 2010  |  Links  |  Kontakt  |  Impressum  |  English Content English Content  
Inhaltsverzeichnis (navigierbar)Sitemap  
ALL, spezielle Merkmale
Granulierte T ALL
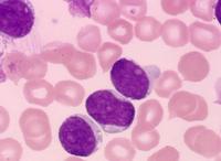
Granulierte T-ALL


Granulierte T-ALL




Art: Zytologie
Material: Blut
Färbung: panoptisch

Reife T-ALL mit Granula.




Art: Zytologie
Material: Blut
Färbung: panoptisch

Granulierte Blasten.




Art: Zytologie
Material: Blut
Zytochemie: PAS-Reaktion

Bei der PAS-Reaktion wird gut erkennbar, dass man bei der Hämatoxylin-Gegenfärbung leichter zwischen Blast und Zyt unterscheiden kann als bei der Pappenheim-Färbung.




    Nach oben zum Seitenanfang Zum Seitenanfang                                                                                  Inhaltsverzeichnis (navigierbar) Sitemap  |  Druckversion des Dokuments  |  E-Mail-Versand  
 
Interner Link
Der Hämatologische Notfall. Sysmex Kalender 2008 [Mehr]