zum ONKODIN-Projekt   Deutsches MDS-Forum 2010  |  Links  |  Kontakt  |  Impressum  |  English Content English Content  
Inhaltsverzeichnis (navigierbar)Sitemap  
B-Vorläufer-ALL
Common-(c-)ALL
Common-ALL - Falldarstellung 4
Common-ALL - Bildserie


Common-ALL, Subtyp einer B-Vorläufer-ALL - Bildserie




c-ALL


Material: Blut
Färbung: panoptisch

Lymphoblasten, Lymphozyten




c-ALL


Material: Knochenmark
Färbung: panoptisch

Lymphoblasten (L2-Morphologie), Lymphozyten




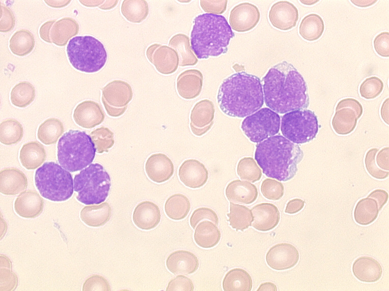
c-ALL


Material: Blut
Zytochemie: PAS-Reaktion

PAS-positive Blasten (rote Granula)




    Nach oben zum Seitenanfang Zum Seitenanfang                                                                                  Inhaltsverzeichnis (navigierbar) Sitemap  |  Druckversion des Dokuments  |  E-Mail-Versand  
 
Interner Link
Der Hämatologische Notfall. Sysmex Kalender 2008 [Mehr]