zum ONKODIN-Projekt   Deutsches MDS-Forum 2010  |  Links  |  Kontakt  |  Impressum  |  English Content English Content  
Inhaltsverzeichnis (navigierbar)Sitemap  
Myelodysplastische Syndrome
RARS (nach WHO)
RARS - Bildserie 1
RARS - Bildserie 2


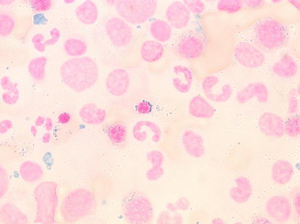
Refraktäre Anämie mit Ringsideroblasten (RARS nach WHO und FAB) - Bildserie 2




Art: Zytologie
Material: Knochenmark
Zytochemie: Eisenfärbung

Ringsideroblast nach Eisenfärbung




    Nach oben zum Seitenanfang Zum Seitenanfang                                                                                  Inhaltsverzeichnis (navigierbar) Sitemap  |  Druckversion des Dokuments  |  E-Mail-Versand  
 
Interner Link
Der Hämatologische Notfall. Sysmex Kalender 2008 [Mehr]