 |
 |
RAEB/T (FAB) - Bildserie |
|
|
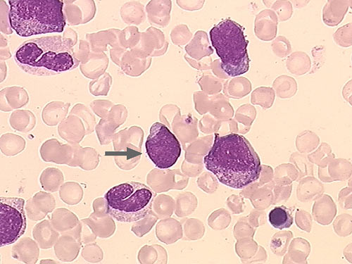
Myelodysplasie im Grenzbereich zur akuten myeloischen Leukämie ("refraktäre Anämie mit Blastenüberschuss in Transformation" (RAEB/T) nach FAB; AML nach WHO) - Beurteilung von Blasten
Autor/en: W. Gassmann
Institution/en: St.-Marienkrankenhaus Siegen, Siegen
Quellenangabe: Deutsches MDS-Forum - Dresden 2006
Serie zuletzt geändert am: 28.11.2006
Beschreibung/Beurteilung der Bildserie: Bei der Blastenzählung ist es nicht immer einfach, Blasten eindeutig zu bestimmen. Welche Zelle zählt man als Blast, welche als Promyelozyt?
Bei diesem Fall ist der Prozentsatz der Blasten im Knochenmark letztlich schwierig einzuordnen und entsprechend vorsichtig zu beurteilen (wahrscheinlich mehr als 20%). Die Diagnosestellung muss im Kontext von Genetik, Alter, Klinik usw. erfolgen.
|

Zum Seitenanfang
Sitemap
|
|
|
Vollständiger Bild-Ton-Vortrag: Myelodysplasie im Grenzbereich zur akuten myeloischen Leukämie [ Mehr] Der Hämatologische Notfall. Sysmex Kalender 2008 [ Mehr]
|
|