zum ONKODIN-Projekt   Deutsches MDS-Forum 2010  |  Links  |  Kontakt  |  Impressum  |  English Content English Content  
Inhaltsverzeichnis (navigierbar)Sitemap  
Myeloproliferative Neoplasien
Primäre Myelofibrose
Osteomyelosklerose - Abbildung
Osteomyelofibrose - Bildserie


Osteomyelofibrose - Bildserie

Aktuelle Klassifikation: Primäre Myelofibrose (PMF)




Art: Zytologie
Material: Blut
Färbung: panoptisch

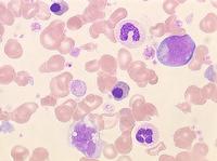
Leuko-erythroblastisches Blutbild: Pathologische Linksverschiebung und Vorkommen von Normolasten




Art: Zytologie
Material: Blut
Färbung: panoptisch

Leuko-erythroblastisches Blutbild: Pathologische Linksverschiebung und Vorkommen von Normoblasten und eines Proerythroblasten.




    Nach oben zum Seitenanfang Zum Seitenanfang                                                                                  Inhaltsverzeichnis (navigierbar) Sitemap  |  Druckversion des Dokuments  |  E-Mail-Versand  
 
Interner Link
Der Hämatologische Notfall. Sysmex Kalender 2008 [Mehr]