zum ONKODIN-Projekt   Deutsches MDS-Forum 2010  |  Links  |  Kontakt  |  Impressum  |  English Content English Content  
Inhaltsverzeichnis (navigierbar)Sitemap  
Chronische lymphatische Leukämien und Sonderformen
Prolymphozytenleukämie
PLL


PLL




T-PLL


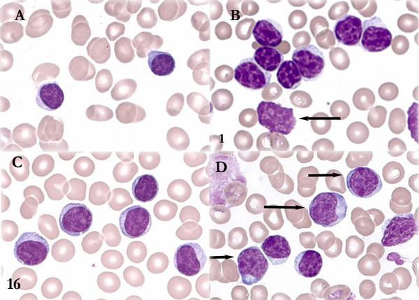
Art: Zytologie
Material: Blut
Färbung: panoptisch

In der Abbildung ist eine T-PLL mit sehr kleinen Lymphozyten einer B-CLL gegenübergestellt. In C ist eine T-PLL einer B-PLL gegenübergestellt (D). Eine morphologische Unterscheidung hinsichtlich der Zellreihe ist nicht möglich.




    Nach oben zum Seitenanfang Zum Seitenanfang                                                                                  Inhaltsverzeichnis (navigierbar) Sitemap  |  Druckversion des Dokuments  |  E-Mail-Versand  
 
Interner Link
Der Hämatologische Notfall. Sysmex Kalender 2008 [Mehr]