zum ONKODIN-Projekt   Deutsches MDS-Forum 2010  |  Links  |  Kontakt  |  Impressum  |  English Content English Content  
Inhaltsverzeichnis (navigierbar)Sitemap  
Zellen des Blutes bzw. in Blutpräparaten
Erythrozyten
Erythrozyten - Bildserie
Retikulozyten


Erythrozyten - Bildserie





Normale Erythrozyten.





Normale Erythrozyten.





In Bildmitte ist ein neutrophiler segmentkerniger Granulozyt zu sehen, welcher von zahlreichen normalen Erythrozyten umgeben ist.





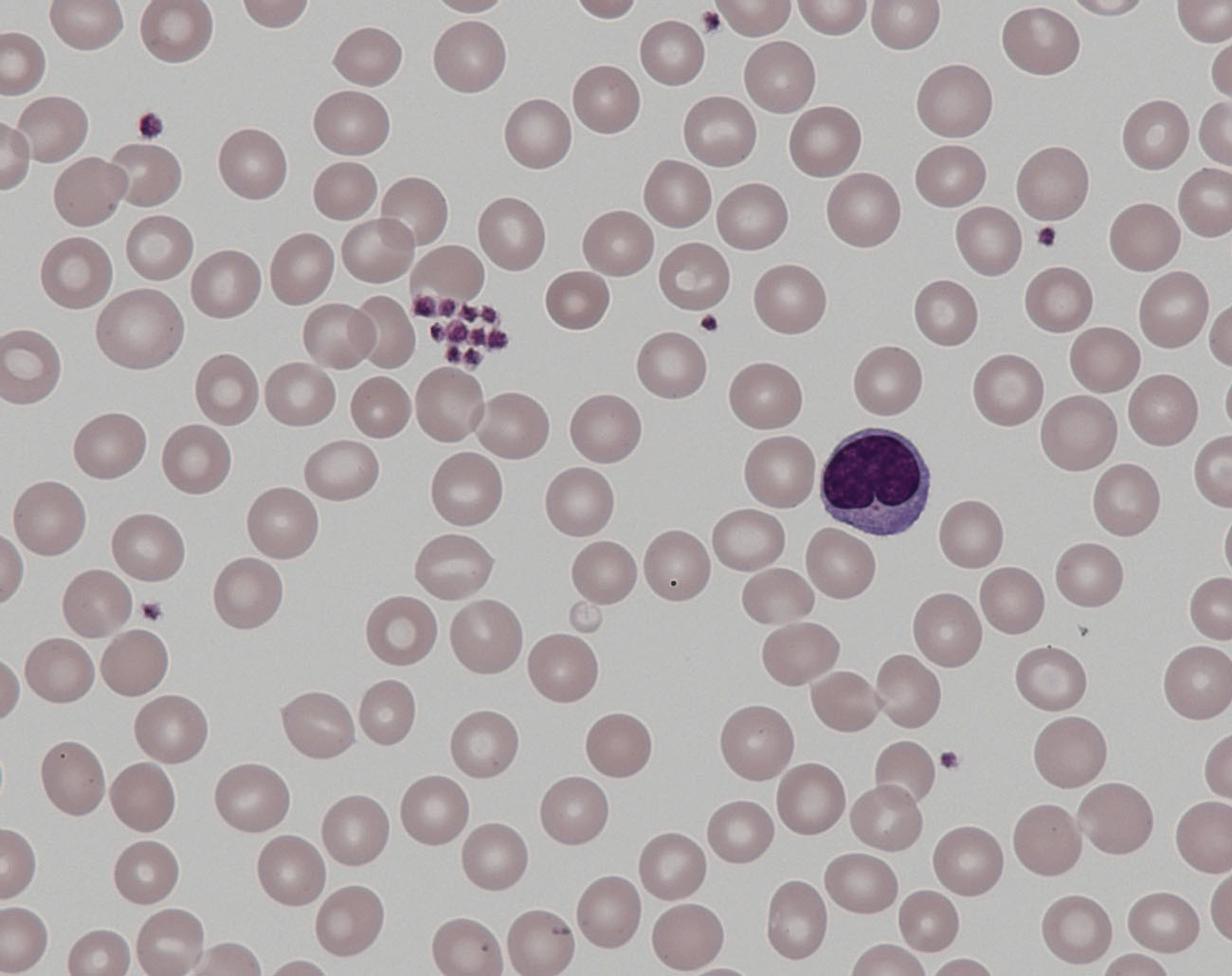
Es sind neben normalen Erythrozyten, ein Lymphozyt (rechts im Bild) sowie eine Gruppe von Thrombozyten (links) zu sehen.




    Nach oben zum Seitenanfang Zum Seitenanfang                                                                                  Inhaltsverzeichnis (navigierbar) Sitemap  |  Druckversion des Dokuments  |  E-Mail-Versand  
 
Interner Link
Referenz-Scattergramme des Blutbildes. Der Sysmex Kalender 2008 [Mehr]