zum ONKODIN-Projekt   Deutsches MDS-Forum 2010  |  Links  |  Kontakt  |  Impressum  |  English Content English Content  
Inhaltsverzeichnis (navigierbar)Sitemap  
Granulozyten
Neutrophile Granulozyten
Bildserie


Normale neutrophile Granulozyten - Bildserie





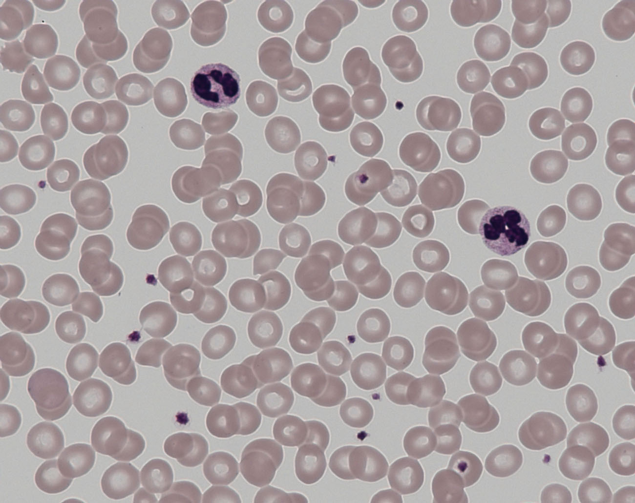
Neben Erythrozyten und Thrombozyten erkennt man zwei unterschiedlich stark segmentierte neutrophile Granulozyten.





Normale segmentkernige Granulozyten





Normale segmentkernige Granulozyten.




    Nach oben zum Seitenanfang Zum Seitenanfang                                                                                  Inhaltsverzeichnis (navigierbar) Sitemap  |  Druckversion des Dokuments  |  E-Mail-Versand  
 
Interner Link
Referenz-Scattergramme des Blutbildes. Der Sysmex Kalender 2008 [Mehr]