zum ONKODIN-Projekt   Deutsches MDS-Forum 2010  |  Links  |  Kontakt  |  Impressum  |  English Content English Content  
Inhaltsverzeichnis (navigierbar)Sitemap  
Zellen des Blutes bzw. in Blutpräparaten
Lymphozyten
Lymphozyten (Standard)
T-Lymphozyten


Lymphozyten - Bildserie




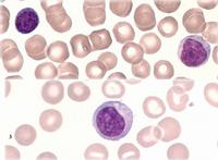
Lymphozyten



Man erkennt im Bild drei normale Lymphozyten mit einem dichten, scholligen Chromatin und einem schmalen, häufig kaum sichtbaren Zytoplasma von leichter bis mäßiger Basophilie.




Lymphozyten mit Granulation



Man erkennt im Zytoplasma der dargestellten Lymphozyten sehr feine Granula unterschiedlicher Zahl (A-C). In D-F ist diese Granulation gröber und besser zu erkennen.




Lymphozyten



Die im peripheren Blut zirkulierenden Lymphozyten sind kleine Zellen, unwesentlich größer als Erythrozyten, mit einem dichten, scholligen Chromatin und einem schmalen, häufig kaum sichtbaren Zytolplasma von leichter bis mässiger Basophilie (A-C). In D-E sieht man eine leichte Einkerbung des Kernes und ein breiteres Zytoplasma.





Standard-Lymphozyt




    Nach oben zum Seitenanfang Zum Seitenanfang                                                                                  Inhaltsverzeichnis (navigierbar) Sitemap  |  Druckversion des Dokuments  |  E-Mail-Versand  
 
Interner Link
Referenz-Scattergramme des Blutbildes. Der Sysmex Kalender 2008 [Mehr]