zum ONKODIN-Projekt   Deutsches MDS-Forum 2010  |  Links  |  Kontakt  |  Impressum  |  English Content English Content  
Inhaltsverzeichnis (navigierbar)Sitemap  
Reaktive Veränderungen
Granulomatöse Lymphadenitis
Fall 1: 78-jähriger Mann
Fall 2: 30-jährige Frau
Fall 3: 38-jährige Frau


Granulomatöse Lymphadenitis unklarer Ursache bei einem älteren Mann


Vorkommen: 78-jähriger Mann mit Lymphknotenschwellung unklarer Ursache.

Beschreibung/Beurteilung der Bildserie: Zahlreiche Epitheloidzellen, auch in größeren Agglomeraten. Keine Nekrose, keine Langhans-Riesenzellen, keine säurefesten Stäbchen.




Epitheloidzellen


Erstelldatum: 13.06.2006
Art: Zytologie
Material: Lymphknoten
Färbung: panoptisch

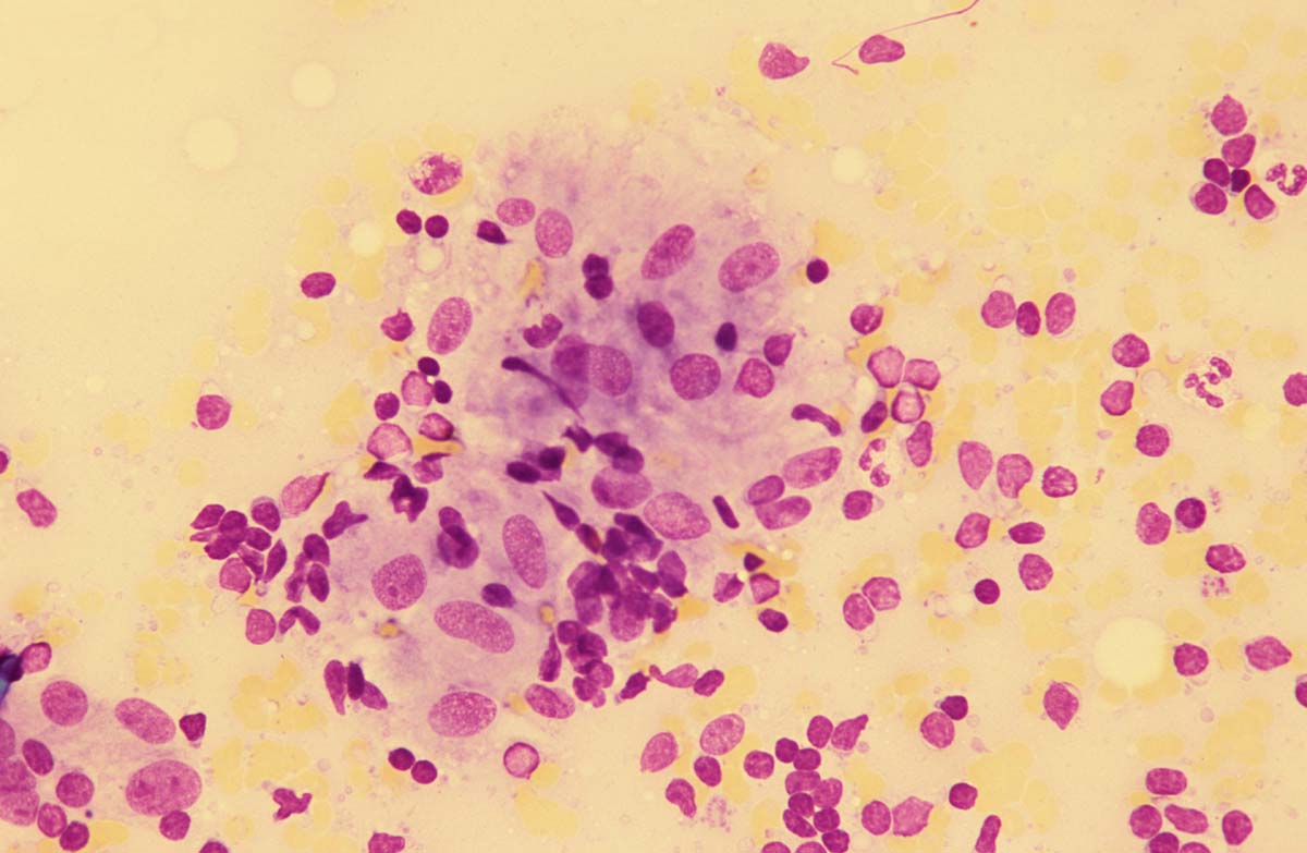
Größeres Agglomerat von Epitheloidzellen.

(Mikroskopische Objektivvergrößerung X40)




Epitheloidzellen


Erstelldatum: 13.06.2006
Art: Zytologie
Material: Lymphknoten
Färbung: panoptisch

Einige Epitheloidzellen, umgeben von Blut und unauffälligen Lymphozyten.

(Mikroskopische Objektivvergrößerung X100)




Epitheloidzellen: Detail


Erstelldatum: 13.06.2006
Art: Zytologie
Material: Lymphknoten
Färbung: panoptisch

Epitheloidzellen mit länglichen Kernen, z.T. gebuchtet oder nierenförmig. Feines, körniges Chromatin, das an Chromatin von Monozyten erinnert. Helles, unscharf begrenztes Zytoplasma.

(Mikroskopische Objektivvergrößerung X100)




Epitheloidzellen


Erstelldatum: 13.06.2006
Art: Zytologie
Material: Lymphknoten
Färbung: panoptisch

Kleine Ansammlung von Epitheloidzellen.

(Mikroskopische Objektivvergrößerung X40)




Kerne von Epitheloidzellen


Erstelldatum: 13.06.2006
Art: Zytologie
Material: Lymphknoten
Färbung: panoptisch

Mehrere Epitheloidzellen, z.T. mit "nierenförmigen" Kernen. Sie besitzen hellgraues, unscharf begrenztes Zytoplasma.

(Mikroskopische Objektivvergrößerung X100)




    Nach oben zum Seitenanfang Zum Seitenanfang                                                                                  Inhaltsverzeichnis (navigierbar) Sitemap  |  Druckversion des Dokuments  |  E-Mail-Versand