zum ONKODIN-Projekt   Deutsches MDS-Forum 2010  |  Links  |  Kontakt  |  Impressum  |  English Content English Content  
Inhaltsverzeichnis (navigierbar)Sitemap  
Reaktive Veränderungen
Granulomatöse Lymphadenitis
Fall 1: 78-jähriger Mann
Fall 2: 30-jährige Frau
Fall 3: 38-jährige Frau


Lymphknotentuberkulose bei einer jüngeren Frau aus Asien


Vorkommen: Vergrößerter Halslymphknoten bei einer 38-jährigen Frau aus Sri Lanka.

Beschreibung/Beurteilung der Bildserie: Epitheloidzellen und Nekrose. In der Ziehl-Neelsen-Färbung ganz vereinzelt Nachweis von säurefesten Stäbchen (nicht abgebildet).




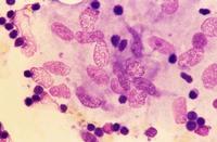
Epitheloidzellen und Nekrose


Erstelldatum: 13.06.2006
Art: Zytologie
Material: Lymphknoten
Färbung: panoptisch

Einige Epitheloidzellen im Zentrum. In der Nachbarschaft zahlreiche dunkle Kerne von untergehenden lymphatischen Zellen.

(Mikroskopische Objektivvergrößerung X40)




Epitheloidzellen und Nekrose: Detail


Erstelldatum: 13.06.2006
Art: Zytologie
Material: Lymphknoten
Färbung: panoptisch

Einige Epitheloidzellkerne. Daneben zahlreiche sehr dunkel angefärbte Kerne untergehender lymphatischer Zellen, die keine Chromatinstruktur mehr erkennen lassen.

(Mikroskopische Objektivvergrößerung X100)




Nekrose


Erstelldatum: 13.06.2006
Art: Zytologie
Material: Lymphknoten
Färbung: panoptisch

In Bildmitte größere Ansammlung von nekrotischem Material, homogen blau-grau angefärbt. Daneben lymphatische Zellen unterschiedlicher Größe aus einem reaktiven Lymphknoten.

(Mikroskopische Objektivvergrößerung X40)




    Nach oben zum Seitenanfang Zum Seitenanfang                                                                                  Inhaltsverzeichnis (navigierbar) Sitemap  |  Druckversion des Dokuments  |  E-Mail-Versand