zum ONKODIN-Projekt   Deutsches MDS-Forum 2010  |  Links  |  Kontakt  |  Impressum  |  English Content English Content  
Inhaltsverzeichnis (navigierbar)Sitemap  
Maligne Lymphome
CLL/SLL
85-jährige Frau
66jährige Frau
73-jähriger Mann


73-jähriger Mann mit Immunozytom


Vorkommen: 73-jähriger Mann mit generalisierten Lymphknotenschwellungen. Zur Untersuchung kommen Feinnadelpunktionsausstriche eines vergrößerten Lymphknotens. - Im Knochenmark lymphatische Infiltration mit lymphoplasmozytoiden Zellen, im Blutausstrich einzelne lymphoplasmozytoide Zellen. Auch im Pleuraerguß sind zahlreiche lymphatische Zellen wie im Lymphknoten und im Knochenmark nachweisbar.

Beschreibung/Beurteilung der Bildserie: Einförmiges Bild mit mittelgroßen bis großen lymphoplasmozytoiden Zellen mit aufgelockerter, aber nicht blastenartiger Chromatinstruktur. Zytoplasma leicht erweitert und hell- bis mittelbasophil angefärbt. Zytoplasmafragmente im Hintergrund.

Differenzialdiagnosen: Marginalzonenlymphom




Immunozytom


Erstelldatum: 01.12.2006
Art: Zytologie
Material: Lymphknoten
Färbung: panoptisch

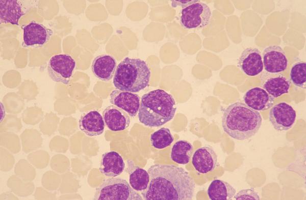
Zahlreiche mittelgroße und große lymphoplasmozytoide Zellen mit aufgelockerter Chromatinstruktur, Chromatinknotungen sind aber noch zu erkennen. Eingestreut einige kleine, unauffällige Lymphozyten.

(Mikroskopische Objektivvergrößerung X40)




Immunozytom - Detail


Erstelldatum: 01.12.2006
Art: Zytologie
Material: Lymphknoten
Färbung: panoptisch

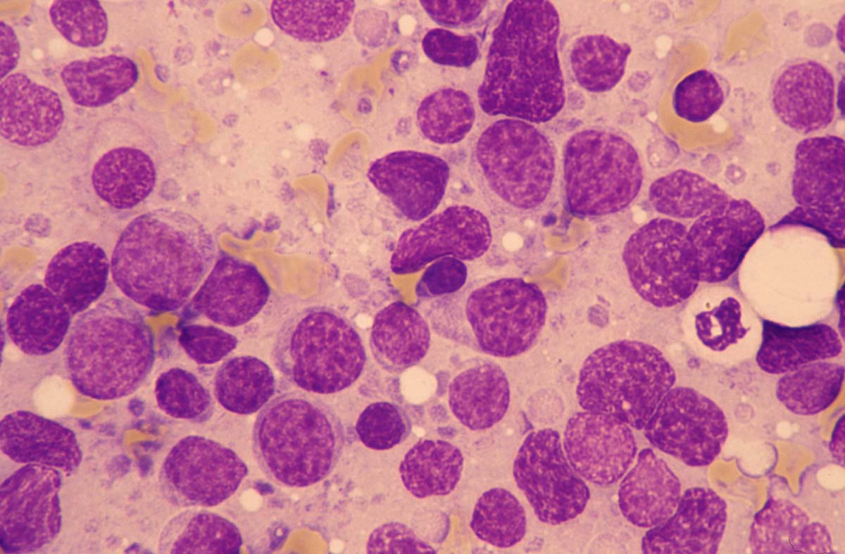
Relativ große lymphoplasmozytoide Zellen mit lockerem Chromatin, keine prominenten Nukleolen zu erkennen. Basophiles Zytoplasma, häufig zerstrichen, im Hintergrund zahlreiche bläuliche Zytoplasmafragmente. Einige kleine, unauffällige Lymphozyten mit deutlich dunkleren Kernen.

(Mikroskopische Objektivvergrößerung X100)




Lymphoplasmozytoide Zellen unterschiedlicher Größe


Erstelldatum: 01.12.2006
Art: Zytologie
Material: Lymphknoten
Färbung: panoptisch

Lymphoplasmozytoide Zellen unterschiedlicher Größe. Daneben Zytoplasmafragmente und zerstrichenes Zytoplasma als Hintergrund.

(Mikroskopische Objektivvergrößerung X100)




Zytoplasmafragmente


Erstelldatum: 01.12.2006
Art: Zytologie
Material: Lymphknoten
Färbung: panoptisch

Lymphoplasmozytoide Zellen unterschiedlicher Größe. Im Hintergrund zahlreiche Zytoplasmafragmente, z. T. sehr groß.

(Mikroskopische Objektivvergrößerung X100)




Lymphoplasmozytoide Zellen im Pleuraerguss


Erstelldatum: 01.12.2006
Art: Zytologie
Material: Pleuraerguss
Färbung: panoptisch

Lymphoplasmozytoide Zellen im Pleuraerguss (gleicher Patient).

(Mikroskopische Objektivvergrößerung X100)




    Nach oben zum Seitenanfang Zum Seitenanfang                                                                                  Inhaltsverzeichnis (navigierbar) Sitemap  |  Druckversion des Dokuments  |  E-Mail-Versand