zum ONKODIN-Projekt   Deutsches MDS-Forum 2010  |  Links  |  Kontakt  |  Impressum  |  English Content English Content  
Inhaltsverzeichnis (navigierbar)Sitemap  
Karzinome
Mammakarzinom
Mammakarzinom, Pleuraerguss
Mammakarzinom, Aszites
Mammakarzinom, Aszites, Einzelzellen, Verbände


Mammakarzinom mit Einzelzelllagerung


Vorkommen: 78-jährige Patientin mit bekanntem Mammakarzinom und Aszites.

Beschreibung/Beurteilung der Bildserie: Maligner Aszites mit überwiegend einzeln gelagerten, auffallend blande wirkenden Karzinomzellen eines Mammakarzinoms.




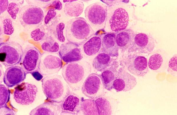
Einzeln gelagerte Karzinomzellen


Art: Zytologie
Material: Aszites
Färbung: panoptisch

Zahlreiche einzeln gelagerte Karzinomzellen mit großen Kernen. In der Mitte kleiner Mesothelverband.

(Mikroskopische Objektivvergrößerung X40)




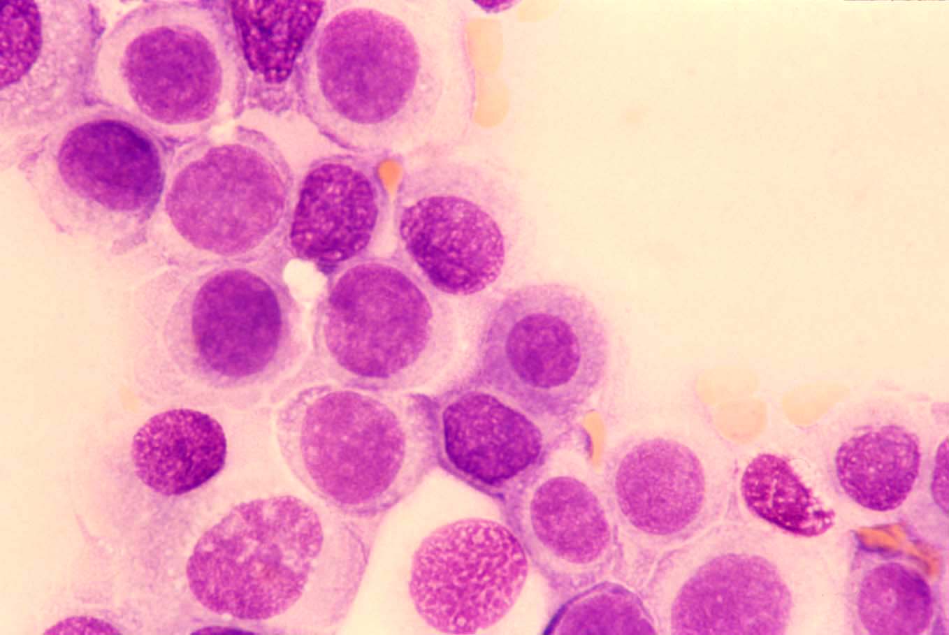
Karzinomzellen mit großen Kernen


Art: Zytologie
Material: Aszites
Färbung: panoptisch

Karzinomzellen mit großen Kernen und etwas unruhiger Chromatinstruktur. Zum Vergleich rechts ein kleiner Mesothelzellverband.

(Mikroskopische Objektivvergrößerung X100)




Karzinomzellen mit großen Kernen


Art: Zytologie
Material: Aszites
Färbung: panoptisch

Einzeln gelagerte Karzinomzellen mit großen, ovalen Kernen. In der Mitte eine Mesothelzelle mit anderer Kern-Plasma-Relation.

(Mikroskopische Objektivvergrößerung X100)




Einzeln gelagerte Karzinomzellen


Art: Zytologie
Material: Aszites
Färbung: Papanicolaou

Zahlreiche Karzinomzellen, überwiegend dissoziiert gelagert. In der Mitte einige Makrophagen.

(Mikroskopische Objektivvergrößerung X40)




Karzinomzellen mit unregelmäßiger Kernbegrenzung


Art: Zytologie
Material: Aszites
Färbung: Papanicolaou

Karzinomzellen mit großen Kernen und unregelmäßiger Kernbegrenzung. Oben einige Makrophagen, unten eine kleine Mesothelzelle.

(Mikroskopische Objektivvergrößerung X100)




    Nach oben zum Seitenanfang Zum Seitenanfang                                                                                  Inhaltsverzeichnis (navigierbar) Sitemap  |  Druckversion des Dokuments  |  E-Mail-Versand