zum ONKODIN-Projekt   Deutsches MDS-Forum 2010  |  Links  |  Kontakt  |  Impressum  |  English Content English Content  
Inhaltsverzeichnis (navigierbar)Sitemap  
Karzinome
Mammakarzinom
Mammakarzinom, Pleuraerguss
Mammakarzinom, Aszites
Mammakarzinom, Aszites, Einzelzellen, Verbände


Mammakarzinom mit Einzelzellen und Verbänden


Vorkommen: 57-jährige Frau mit bekanntem Mammakarzinom und Aszites.

Beschreibung/Beurteilung der Bildserie: Maligner Aszites mit dissoziiert oder in Verbänden gelagerten Karzinomzellen.




Karzinomzellverband


Art: Zytologie
Material: Aszites
Färbung: panoptisch

Kleiner Karzinomzellverband. Im Hintergrund zahlreiche neutrophile Granulozyten.

(Mikroskopische Objektivvergrößerung X40)




Karzinomzellverband mit Sekret


Art: Zytologie
Material: Aszites
Färbung: panoptisch

Kleiner Karzinomzellverband: Ovale Kerne, blandes Chromatin, Sekret zu erkennen. Rechts eine Mesothelzelle und zwei Makrophagen.

(Mikroskopische Objektivvergrößerung X100)




Einzeln gelagerte Karzinomzellen


Art: Zytologie
Material: Aszites
Färbung: panoptisch

Einzeln gelagerte Karzinomzellen und Mesothelien. Unten rechts kleiner Mesothelzellverband, im Hintergrund neutrophile Granulozyten.

(Mikroskopische Objektivvergrößerung X40)




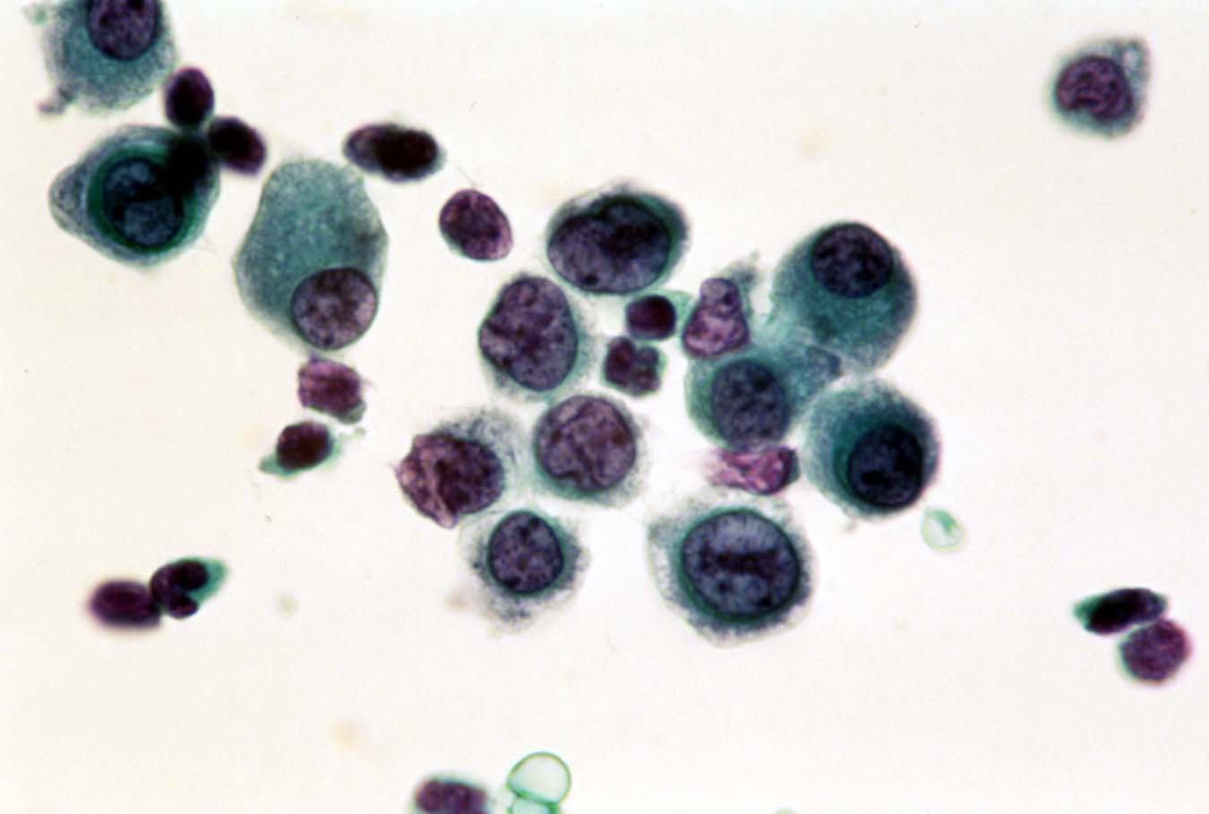
Karzinomzellen und Mesothelien


Art: Zytologie
Material: Aszites
Färbung: panoptisch

Links und rechts Karzinomzellen mit vergrößerten, unregelmäßig begrenzten Kernen, Chromatin etwas ungleichmäßig verteilt. Zum Vergleich in der Mitte vier Mesothelzellen mit kleinen, runden Kernen und körnigem Chromatin.

(Mikroskopische Objektivvergrößerung X100)




Einzelne Karzinomzellen


Art: Zytologie
Material: Aszites
Färbung: Papanicolaou

Mitte links drei Karzinomzellen mit geklüfteten, hyperchromatischen Kernen. Zum Vergleich Mitte rechts und oben rechts Mesothelzellen.

(Mikroskopische Objektivvergrößerung X100)




Karzinomzellen und Mesothelien


Art: Zytologie
Material: Aszites
Färbung: Papanicolaou

In der Mitte Karzinomzellen mit unregelmäßig begrenzten, hyperchromatischen Kernen. Zum Vergleich rechts und links daneben Mesothelzellen.

(Mikroskopische Objektivvergrößerung X100)




    Nach oben zum Seitenanfang Zum Seitenanfang                                                                                  Inhaltsverzeichnis (navigierbar) Sitemap  |  Druckversion des Dokuments  |  E-Mail-Versand