zum ONKODIN-Projekt   Deutsches MDS-Forum 2010  |  Links  |  Kontakt  |  Impressum  |  English Content English Content  
Inhaltsverzeichnis (navigierbar)Sitemap  
Reaktive Veränderungen
Lymphozytenreicher Erguss
Dressler-Syndrom
Erguss bei Tuberkulose
Postpneumonischer Reizerguss


Erguss bei Tuberkulose


Vorkommen: Begleiterguss der Pleura bei Lungentuberkulose.

Beschreibung/Beurteilung der Bildserie: Lymphozytenreicher Reizerguss ohne Nachweis von Mesothelien.




Art: Zytologie
Material: Pleuraerguss
Färbung: panoptisch

Kleine unauffällige Lymphozyten, keine Mesothelien.

(Mikroskopische Objektivvergrößerung X40)




Art: Zytologie
Material: Pleuraerguss
Färbung: panoptisch

Kleine unauffällige Lymphozyten, einige Monozyten.

(Mikroskopische Objektivvergrößerung X100)




Art: Zytologie
Material: Pleuraerguss
Färbung: panoptisch

Unauffällige Lymphozyten, in der Mitte eine Reizform.

(Mikroskopische Objektivvergrößerung X100)




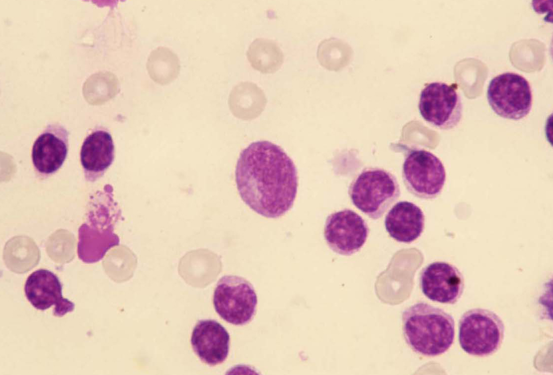
Art: Zytologie
Material: Pleuraerguss
Färbung: panoptisch

Unauffällige Lymphozyten, in der Mitte eine Reizform.

(Mikroskopische Objektivvergrößerung X100)




    Nach oben zum Seitenanfang Zum Seitenanfang                                                                                  Inhaltsverzeichnis (navigierbar) Sitemap  |  Druckversion des Dokuments  |  E-Mail-Versand